当前位置:肿瘤瞭望>资讯>正文

优例共赏丨一例PD-L1抑制剂治疗失败后PD-1抑制剂再挑战的广泛期小细胞肺癌成功经验分享

作者:肿瘤瞭望   日期:2022/11/29 15:19:28  浏览量:11337

肿瘤瞭望版权所有,谢绝任何形式转载,侵犯版权者必予法律追究。

肺癌是肿瘤相关死亡率最高的疾病[1]。小细胞肺癌是肺癌之中侵袭性最强的一种亚型,此类肿瘤恶性程度高、倍增时间短、易发生远处转移,初次就诊时即有约2/3患者确诊为广泛期,小细胞肺癌约占所有肺癌患者的15-20%,与吸烟关系密切。

▌病例作者:宋丽萍(北京大学首钢医院)
▌点评作者:向平超(北京大学首钢医院)
 
摘要:肺癌是肿瘤相关死亡率最高的疾病[1]。小细胞肺癌是肺癌之中侵袭性最强的一种亚型,此类肿瘤恶性程度高、倍增时间短、易发生远处转移,初次就诊时即有约2/3患者确诊为广泛期,小细胞肺癌约占所有肺癌患者的15-20%,与吸烟关系密切。NCCN小细胞肺癌临床实践指南2023.v1和2022 CSCO小细胞肺癌诊疗指南推荐免疫治疗联合化疗一线治疗广泛期小细胞肺癌,患者的中位PFS为5个月左右,中位OS超过12个月[2,3]。在既往的临床实践中,尽管SCLC对于一线化疗(依托泊苷/伊立替康联合铂类)非常敏感,但大多数的SCLC患者在初始治疗后很快出现复发及耐药。一线治疗进展后,患者的治疗手段非常局限[4]。相关文献报道,NSCLC患者使用PD-1药物治疗进展后,换用PD-L1抑制剂仍能发挥抗肿瘤效应[5,6]。PD-1抑制剂与PD-L1抑制剂抗肿瘤机制略有不同,斯鲁利单抗作为上海复宏汉霖首款自主研发的创新生物药PD-1抑制剂,其疗效已在多个瘤种中得到验证。本文分享一例经阿替利珠单抗(PD-L1抑制剂)联合化疗一线治疗进展后,二线治疗换用斯鲁利单抗(PD-1抑制剂)联合化疗治疗ES-SCLC患者的病例,探索免疫治疗在ES-SCLC患者中的应用。
 
病例作者
宋丽萍教授
北京大学首钢医院呼吸与危重症医学科
北京大学首钢医院呼吸与危重症医学科肺癌诊疗组组长、副主任医师
北京内分泌代谢病学会代谢性呼吸病专业委员会常务委员
北京健康促进会肺癌诊疗专委会常务委员
北京科创医学发展基金会肺癌专业委员会常务委员
北京医学奖励基金会肺癌青年医学专家委员会委员
北京肿瘤防治研究会呼吸内镜分委会委员
北京医学戒烟干预委员会委员
擅长肺部肿瘤的内科规范化诊治,对呼吸科常见病、呼吸危重症的诊治以及科学戒烟均具有丰富的临床经验
病例介绍
 
基本情况:男性,66岁,已婚。
 
初诊时间:2021年12月1日。
 
主诉:发热伴咳喘3天。
 
既往史:2021年9月诊断皮肌炎,以双手、头背部皮疹为主,口服醋酸泼尼松龙治疗,由起始8片逐渐降至2片,维持治疗。高血压病史6年,血压最高170/100mmHg,口服厄贝沙坦。既往有慢性阻塞性肺疾病、腔隙性脑梗死、反流性食管炎、胆囊结石、过敏性皮炎等病史。10余岁时曾患肺结核,未规律治疗。头孢克洛可疑过敏(上臂皮疹),否认食物过敏史。
 
个人史:吸烟史50年,20支/日,已戒烟3年。
 
家族史:无肿瘤家族史,无遗传病史。
 
查体:PS评分0分。全身浅表淋巴结未触及肿大。口唇轻度紫绀。双肺叩诊清音。左肺呼吸音正常,未闻及湿性啰音。右肺呼吸音低,可闻及湿性啰音。
 
肿瘤标志物:CEA 5.21ng/ml;CA125 85.4U/ml;CA199 49.56U/ml;NSE 319.99ng/ml;CYFRA21-1 11ng/ml;SCC 16.7ng/ml。
 
▌影像学检查
 
2021-12-03胸部增强CT:1、纵隔、双肺门多发肿大淋巴结并融合:淋巴瘤?转移性病变?2、两肺符合慢性支气管炎继发感染,实变影像表现。3、右侧胸腔积液。4、两肺多发结节,部分钙化。
 
脑增强MRI:腔隙性脑梗塞;脑白质缺血性脱髓鞘改变;左侧上颌窦黏膜下囊肿。
 
颈部浅表淋巴结超声:左侧颈部稍大淋巴结,反应性增生?
 
腹部增强CT:肝血管瘤。
 
全身骨扫描未见异常。
 
2021-12-03支气管镜检查:右上叶开口黏膜粗糙肥厚增生,累及前段,予活检。
 
▌病理结果
 
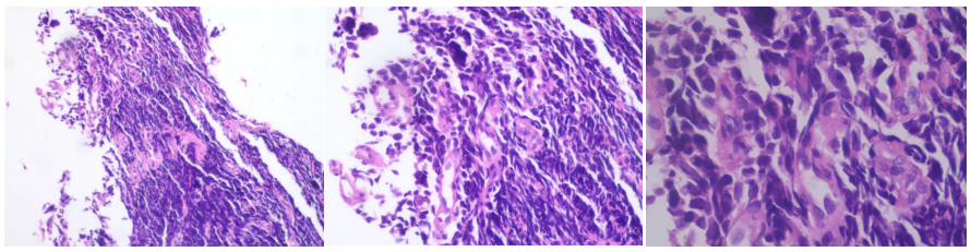
2021-12-10病理结果:(右上叶开口粘膜)肺小细胞癌。
 
免疫组化结果:TTF-1(+),NapsinA(-),P63(-),CK5/6(-),P40(-),Syn(+),CgA(+),CD56(+),LCA(-),SATB2(-),Ki-67(热区>95%+),p53(+),CK(+)。
 
 
▌诊断
 
1.右肺上叶小细胞癌cT4N3M1a IVa期广泛期
 
多部位淋巴结继发恶性肿瘤(双肺门、纵隔)
 
肺内转移
 
2.皮肌炎
 
3.慢性阻塞性肺疾病
 
4.高血压病2级(高危)
 
5.陈旧性肺结核
 
6.腔隙性脑梗死
 
7.反流性食管炎
 
8.胆囊结石
 
▌治疗经过
 
一线治疗:
 
2021-12-16、2022-01-12行第1-2周期EL方案化疗,具体方案:依托泊苷(100mg/m2)180mg d1-d3+洛铂(30mg/m2)50mg d1。因患者皮肌炎未控制,暂缓免疫治疗。
 
2022-02-09、2022-03-10行第3-4周期化疗,并联合免疫治疗。具体方案为:阿替利珠单抗1200mg d1+依托泊苷(100mg/m2)180mg d1-d3+卡铂(AUC=5)550mg d1。
 
2022-04-07至2022-06-08行阿替利珠单抗1200mg d1免疫维持治疗4周期。
 
2022-05-28起开始联合索凡替尼治疗,患者无法耐受(纳差、乏力),于2022-06-28完善PET-CT检查,提示疾病进展,停止索凡替尼。
 
 
疗效评价:
 
2022-02-07(第2周期治疗后)肿瘤标志物胃泌素释放肽前体测定较前明显下降(471.21pg/ml→63.38pg/ml)。复查CT:肺内病灶较前变化不大,原纵隔及右肺门肿大淋巴结,较前减小;右肺上叶新发多个结节灶,右侧少量胸腔积液,较前增多,疗效综合评估:SD。
 
2022-04-05(第4周期治疗后)疗效评效SD。
 
2022-05-19(第7周期治疗后)胸部CT:右肺占位复查,较前稍增大;纵隔及右肺门肿大淋巴结,大部分较前增大,双侧胸腔积液,两肺多个结节,考虑转移可能性大。2022-05-26完善CT引导下肺穿刺活检,病理为治疗后肿瘤性坏死,疗效综合评估:SD。
 
 
2022-06-28日复查PET-CT:1、双侧头臂血管周围、右侧气管食管沟、纵隔(2R、2L、3a、4R、4L、5、6、7区)右侧肋膈角见多发FDG代谢增高淋巴结,部分淋巴结坏死,结合病史,考虑多发淋巴结转移,病变数目较前增多、体积增大。L3椎体右侧、左侧肩胛冈FDG代谢增高,考虑骨转移。2、右肺上叶前段胸膜下环形FDG代谢增高病变中心伴有坏死,病变较前稍增大;左肺上叶舌段及下叶内前基底段、右上叶及下叶多发结节,部分伴FDG代谢增高,较前未见明显变化;右侧胸膜增厚伴右侧胸膜增厚伴FDG代谢增高,较前增厚,右侧胸腔积液较前减少。余未见转移征象。综上:多发淋巴结转移,新发骨转移,考虑PD。
 
 
二线治疗:
 
2022-07-01至2022-10-21行6周期斯鲁利单抗300mg d1+白蛋白紫杉醇(260mg/m2)450mg d1+奈达铂(75mg/m2)130mg d1,q21d治疗,同时给予伊班膦酸钠预防骨不良事件。期间因化疗后III度骨髓抑制,第5、6周期白蛋白紫杉醇+奈达铂双药减量10%化疗。
 
疗效评价:
 
2022-08-15(治疗2周期后)CT、2022-09-28(治疗4周期后)CT、2022-11-08(治疗6周期后)CT:右肺上叶前段软组织密度影逐渐缩小(49mm*27mm→45mm*23mm→44mm*22mm),疗效综合评估SD。
 
 
▌不良反应
 
治疗期间患者出现恶心,III度骨髓抑制(中性粒细胞0.52×109/L),便秘、腹痛,对症治疗后好转,未出现严重irAE。
 
▌后续治疗方案
 
患者无法耐受化疗,目前正在接受斯鲁利单抗免疫治疗联合安罗替尼抗血管生成治疗。
 
▌病例小结
 
该例患者为广泛期小细胞肺癌患者,合并有慢性阻塞性肺疾病、腔隙性脑梗死、反流性食管炎、胆囊结石、过敏性皮炎等多种基础疾病,既往有肺结核史,体质较弱,治疗方案选择受限。一线应用阿替利珠单抗联合化疗治疗后,肿瘤无退缩,且缓慢增大;治疗期间患者右侧胸腔积液增多,完善电子胸腔镜检查后结合病史考虑结核性胸膜炎可能大;免疫单药维持治疗疗效欠佳,联合索凡替尼治疗耐受性差。二线应用斯鲁利单抗联合化疗治疗2周期即出现肿瘤缩小、持续至6周期时疗效评价仍为缩小的SD,且胸腔积液得到控制。治疗期间患者未出现不可控的免疫相关不良反应,安全性良好。
 
抗肿瘤治疗前确诊活动性结核病能否应用免疫治疗目前无证据支持,根据2022年CSCO免疫检查点抑制剂特殊人群应用专家共识,免疫治疗前结核的筛查并非临床常规,治疗期间发生结核多数被记录为临床研究的相应不良事件,并造成严重后果,因此临床医师应警惕在免疫治疗期间出现结核新发感染和复燃的可能,活动性结核一般被剔除临床研究之外。但Anastasopoulou等人[7]建议在开始应用PD-1/PD-L1抑制剂之前(例如2~4周)进行抗结核治疗更合理,以确保患者对预防性抗结核治疗的耐受性,在潜伏结核感染治疗期间,应每月监测患者的临床症状,警惕联合用药的不良反应。免疫治疗时代ES-SCLC患者的全程管理以及特殊人群免疫治疗仍需不断的探索和更多的证据支持。
 
点评专家
向平超教授
北京大学首钢医院
北京大学首钢医院党委书记兼呼吸与危重症医学科主任,主任医师硕士研究生导师
北京肿瘤防治研究会内镜分委会副主任委员
北京医学会呼吸病学委员会委员
北京医学会呼吸内镜与介入治疗学术委员会委员
北京内分泌代谢病学会代谢性呼吸病专委会主任委员
北京医院协会医院医政管理分会副主任委员
中国医师协会内科培训指导委员会常委
北京医师协会安宁疗护专业专家委员会常委
中国国际交流促进会中老年医疗保健分会委员
《中国医学前沿杂志(电子版)》、《中华临床医师杂志(电子版)》审稿人等
 
病例点评
 
小细胞肺癌预后差、侵袭性强,缺乏可靶向的驱动突变基因。吸烟是小细胞肺癌的首要危险因素。小细胞肺癌的恶性程度高,进展迅速,患者确诊时往往已经是晚期。近30年以来,依托泊苷联合卡铂或顺铂是ES-SCLC的一线标准治疗。PD-1/L1抑制剂联合化疗治疗方案成功打破僵局,在一线治疗领域取得了优于含铂双药化疗的OS,刷新了ES-SCLC的一线用药布局。ES-SCLC步入免疫治疗时代,但免疫联合化疗一线治疗的中位PFS不足半年,二线治疗方案选择少,SCLC患者使用PD-1/PD-L1单抗治疗进展后二线治疗该如何选择,成为困扰临床专家的难题。
 
该患者在PD-L1抑制剂(阿替利珠单抗)联合化疗一线治疗后肿瘤缓慢进展,使用PD-1抑制剂(斯鲁利单抗)联合化疗二线治疗后肿瘤退缩,且胸腔积液得到控制,取得了不错的疗效。虽然该案例证实SCLC患者使用PD-L1抑制剂进展后换用PD-1抑制剂继续治疗仍有获益,但尚属个例,还需要更多研究来证实PD-1抑制剂和PD-L1抑制剂之间互换的疗效和安全性。
 
使用ICIs治疗可能使活动性结核病恶化,在使用ICIs单药过程中确诊活动性结核病后是否继续ICIs以及何时恢复ICIs治疗仍没有确切证据。目前文献以病例报道为主,其中有1例患者在应用帕博利珠单抗过程中诊断结核性胸膜炎[8]、1例在应用阿替利珠单抗过程中诊断肺结核[7],在抗结核治疗同时,以上2例均未停用ICIs,最终活动性结核病治愈,肿瘤病灶稳定,未发生不良反应。因此,临床实践中治疗应根据患者肿瘤负荷、结核病感染部位及严重程度、抗结核病药物耐受情况综合决定。如果患者在接受PD-1/PD-L1抑制剂治疗期间新诊断为活动性结核病,在ICIs有明显临床受益的情况下,不应立即停止免疫治疗,应进行多学科讨论制定下一步治疗方案[9,10,11]
 
该真实案例证明,PD-L1抑制剂治疗失败的ES-SCLC患者二线应用斯鲁利单抗联合化疗再挑战成功,治疗过程中结核性胸膜炎控制良好,体现了斯鲁利单抗良好的疗效和安全性,期待未来有更多的循证医学证据支持ES-SCLC的临床应用。
 
▌参考文献
 
1.Siegel R L,et al.Cancer statistics,2020[J].CA Cancer J Clin,2020,70(1):7-30.
 
2.Liu SV,et al.Updated Overall Survival and PD-L1 Subgroup Analysis of Patients With Extensive-Stage Small-Cell Lung Cancer Treated With Atezolizumab,Carboplatin,and Etoposide(IMpower133).J Clin Oncol.2021 Feb 20;39(6):619-630.
 
3.Goldman JW,et al.Durvalumab,with or without tremelimumab,plus platinum-etoposide versus platinum-etoposide alone in first-line treatment of extensive-stage small-cell lung cancer(CASPIAN):updated results from a randomised,controlled,open-label,phase 3 trial.Lancet Oncol.2021 Jan;22(1):51-65.
 
4.2022 CSCO小细胞肺癌诊疗诊疗指南.
 
5.Kitagawa S,et al.Switching administration of anti-PD-1 and anti-PD-L1 antibodies as immune checkpoint inhibitor rechallenge in individuals with advanced non-small cell lung cancer:Case series and literature review.Thorac Cancer.2020 Jul;11(7):1927-1933.
 
6.Taki T,et al.Successful Treatment of Non-small-cell Lung Cancer with Atezolizumab Following Tubulointerstitial Nephritis Due to Pembrolizumab.Intern Med.2020 Jul 1;59(13):1639-1642.
 
7.AnastasopoulouA,et al.Reactivation of tuberculosis in cancer patients following administration of immune checkpoint inhibitors:current evidence and clinical practice recommendations[J].J Immunother Cancer,2019,7(1):239.
 
8.PicchiH,et al.Infectious complications associated with the use of immune checkpoint inhibitors in oncology:reactivation of tuberculosis after anti PD-1 treatment[J].Clin Microbiol Infect,2018,24(3):216-218.
 
9.ZaemesJ,et al.Immune checkpoint inhibitor use and tuberculosis:a systematic review of the literature[J].Eur J Cancer,2020,132:168-175.
 
10.AnandK,,et al.Mycobacterial infections due to PD-1 and PD-L1 checkpoint inhibitors[J].ESMO Open,2020,5(4).
 
11.HoJC,et al.Management of co-existent tuberculosis and lung cancer[J].Lung Cancer,2018,122:83-87.

本内容仅供医学专业人士参考


肺癌

分享到: 更多