当前位置:肿瘤瞭望>资讯>正文

肺癌病例丨一种罕见irAE:PD-L1抑制所致脑炎

作者:肿瘤瞭望   日期:2021/7/19 10:45:51  浏览量:9418

肿瘤瞭望版权所有,谢绝任何形式转载,侵犯版权者必予法律追究。

随着免疫治疗的应用增多,免疫治疗相关不良反应(irAE)越来越受关注。

编者按:随着免疫治疗的应用增多,免疫治疗相关不良反应(irAE)越来越受关注。本文介绍一则PD-L1抑制剂atezolizumab(阿替利珠单抗)治疗中发生的脑炎病例。

 
病例介绍
 
一名56岁日本男性因高热和意识障碍入院,昏昏欲睡,对简单的问题反应不佳。他患有右下叶肺腺癌,右上肺门淋巴结转移(cT2N2M0)。患者是一名出租车司机,55岁前吸烟(每天1包×35年),无其他病史或家族史。他在入院前10个月接受了右肺叶切除术,并接受了顺铂+长春瑞滨三个疗程的化疗,尽管PET扫描结果显示疾病进展并伴有多个新的转移性肺部病变。随后,患者接受了三个周期的卡铂+白蛋白结合型紫杉醇化疗。
 
17天前,患者针对转移性肺腺癌接受了PD-L1抑制剂atezolizumab的首次治疗。入院前约1周出现发热。神经系统检查显示意识障碍(格拉斯哥昏迷量表E3V3M6)和运动性失语;没有表现出锥体束受累、不自主运动、共济失调、感觉障碍或自主神经障碍的迹象;没有发现其他异常(包括颈部僵硬)。
 
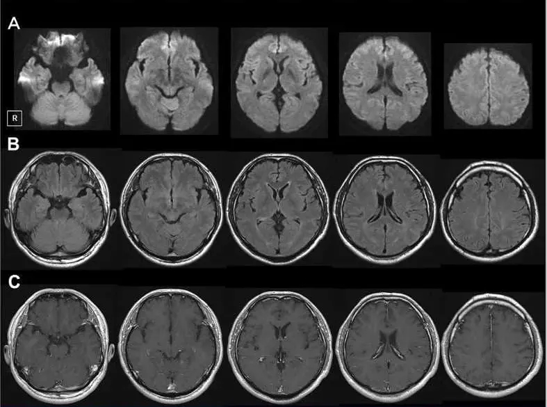
入院时,使用钆对比剂的脑部磁共振成像未显示异常(图1)。脑脊液(CSF)分析显示细胞计数为20/μl,蛋白质166 mg/dl,葡萄糖73 mg/dl。脑脊液中的白介素6(IL-6)水平升高至82.9 pg/ml(正常水平<8.7 pg/ml[3])。脑脊液的细菌培养、单纯疱疹病毒1+2和巨细胞病毒的聚合酶链反应呈阴性。副肿瘤性神经综合征的血清抗体(包括抗-Hu抗体)检测结果为阴性。因此,以上诊断排除了转移性脑肿瘤、细菌性脑膜炎、单纯疱疹脑炎和副肿瘤性神经综合征。
 
图1. 入院时的脑磁共振成像,以下没有异常发现:(a)弥散加权成像,(b)流体衰减反转恢复,(c)钆对比剂增强T1加权成像
 
这位患者被诊断为atezolizumab诱发的脑炎。住院第2天,给予1000 mg甲基泼尼松龙脉冲治疗3天。次日,高烧、意识障碍和运动性失语等症状立即好转。类固醇脉冲治疗后,患者开始口服泼尼松龙30 mg (0.5 mg/kg) 并逐渐减量。除了轻度细胞增多症 (12/μl) 外,CSF检查结果在第8天正常。IL-6值降至2.3 pg/ml。泼尼松龙的口服给药在第13天结束。随后,第14天进行的脑脊液研究显示,细胞计数接近正常(7/μl),IL-6达到正常值(3.9 pg/ml)(图2)。患者在第16天出院,没有神经系统后遗症。出院后,患者接受了多西他赛+雷莫芦单抗联合方案治疗肺腺癌,无脑炎复发。
 
图2. 本病例的临床进程:CSF脑脊液;IL-6白介素6;mPSL甲基泼尼松龙;PSL泼尼松龙
 
病例讨论
 
脑炎是atezolizumab的一种罕见irAE。1/2期POPLAR试验(阿特珠单抗 vs. 多西他赛用于经治非小细胞肺癌患者)的irAE未报告脑炎。在随机III期OAK试验(atezolizumab vs 多西他赛用于经治非小细胞肺癌患者)中,609例接受atezolizumab治疗的患者中有5例(0.8%)发生了脑炎。[7] 此外,在随机III期IMpower 150研究中,(atezolizumab联合卡铂+紫杉醇±贝伐珠单抗 vs 卡铂+紫杉醇联合贝伐珠单抗),373例患者中有1例(0.3%)发生了脑炎。[8] 这些患者在atezolizumab治疗约2周后出现脑炎,并出现发热和意识障碍,但一例体温正常的患者除外。[5] 脑脊液细胞增多、蛋白增高很常见。脑磁共振成像显示软脑膜强化或脑实质病变,只有两个病例无异常发现(包括本例)。尽管atezolizumab相关脑炎的治疗尚未完善,但这类脑炎对类固醇治疗的反应良好,不需要进一步给予其他治疗。[6] 另一方面,在某些与PD-1抑制剂纳武单抗相关的脑炎病例中,脑炎治疗还需要免疫球蛋白或血浆置换。[9,10]
 
irAE的确切病理生理学机制尚不明晰,一些潜在的机制包括针对肿瘤/健康组织中的抗原的T细胞活性增加、预存自身抗体水平增高、炎性细胞因子水平增加,以及直接结合细胞毒性T淋巴细胞相关抗原4(CTLA-4)抗体和正常组织表达的CTLA-4而加剧补体介导的炎症。[1] 在本病例中,脑脊液中IL-6的水平在急性期升高,并在类固醇治疗后恢复正常。据我们所知,这是第一例检测脑脊液IL-6水平的免疫检查点抑制剂(ICI)相关脑炎病例。由于脑脊液中的IL-6是反映中枢神经系统炎症的代表性细胞因子,[3] 炎症细胞因子的过度增加可能是本病例发生脑炎的原因。自身抗体增加也可能是ICI相关脑炎的发生机制,因为一例纳武利尤单抗所致脑炎的病例报告鉴定出N-甲基-D-天冬氨酸受体抗体,[9] 但本病例未发现脑炎相关的特异性自身抗体。
 
总之,本文介绍了一则atezolizumab治疗相关的脑炎病例,通过及时诊断和类固醇脉冲治疗获得成功。这种脑炎不需要长期口服泼尼松龙。脑脊液中的IL-6水平很好地反映了脑炎的严重程度。临床医生应意识到ICI治疗后发生脑炎的可能性。与ICI相关的脑炎病例报告很少,因此需要进一步研究以确立针对这种危及生命irAE的有效治疗方法。
 
来源
J Med Case Reports. 2020;14(88)
 
参考文献
1. Postow MA, Sidlow R, Hellmann MD. Immune-related adverse events associated with immune checkpoint blockade. N Engl J Med. 2018;378(2):158–68.
2. Brahmer JR, Lacchetti C, Schneider BJ, Atkins MB, Brassil KJ, Caterino JM, et al. Management of immune-related adverse events in patients treated with immune checkpoint inhibitor therapy: American Society of Clinical Oncology clinical practice guideline. J Clin Oncol. 2018;36(17):1714–68.
3. Kleine TO, Zwerenz P, Zofel P, Shiratori K. New and old diagnostic markers of meningitis in cerebrospinal fluid (CSF). Brain Res Bull. 2003;61(3):287–97.
4. Levine JJ, Somer RA, Hosoya H, Squillante C. Atezolizumab-induced encephalitis in metastatic bladder cancer: a case report and review of the literature. Clin Genitourin Cancer. 2017;5(5):e847–9.
5. Laserna A, Tummala S, Patel N, El Hamouda DEM, Gutiérrez C. Atezolizumab-related encephalitis in the intensive care unit: case report and review of the literature. SAGE Open Med Case Rep. 2018;6:2050313X18792422.
6. Arakawa M, Yamazaki M, Toda Y, Saito R, Ozawa A, Kosaihira S, Kimura K. Atezolizumab-induced encephalitis in metastatic lung cancer: a case report and literature review. eNeurologicalSci. 2018;14:49–50.
7. Rittmeyer A, Barlesi F, Waterkamp D, Park K, Ciardiello F, von Pawel J, et al. Atezolizumab versus docetaxel in patients with previously treated non-small-cell lung cancer (OAK): a phase 3, open-label, multicentre randomised controlled trial. Lancet. 2017;389(10066):255–65.
8. Socinski MA, Jotte RM, Cappuzzo F, Orlandi F, Stroyakovskiy D, Nogami N, et al. Atezolizumab for first-line treatment of metastatic nonsquamous NSCLC. N Engl J Med. 2018;378(24):2288–301.
9. Williams TJ, Benavides DR, Patrice KA, Dalmau JO, de vila AL, Le DT, et al. Association of autoimmune encephalitis with combined immune checkpoint inhibitor treatment for metastatic cancer. JAMA Neurol. 2016;73(8):928–33.
10. Burke M, Hardesty M, Downs W. A case of severe encephalitis while on PD-1 immunotherapy for recurrent clear cell ovarian cancer. Gynecol Oncol Rep. 2018;24:51–3.

本内容仅供医学专业人士参考


肺癌

分享到: 更多