当前位置:肿瘤瞭望>资讯>正文

一则肺癌病例带来的启示:动态监测耐药机制,选择最有效的靶向药物

作者:肿瘤瞭望   日期:2020/3/18 18:21:07  浏览量:17199

肿瘤瞭望版权所有,谢绝任何形式转载,侵犯版权者必予法律追究。

Clinical Lung Cancer杂志介绍了一则动态监测耐药机制并选择相应治疗药物的病例。

Clinical Lung Cancer杂志介绍了一则动态监测耐药机制并选择相应治疗药物的病例。第一代EGFR-TKI治疗耐药后,通过多次二代测序,揭示了肿瘤的分子病理学特点和耐药机制的动态变化,并展示了患者的完整转归。笔者对这则病例进行了整理,与读者一起学习。

背景介绍
 
63.1%的中国人携带EGFR敏感突变,吉非替尼、厄洛替尼等药物已经被批准用于这部分患者的治疗,但多数患者可因耐药导致治疗失败。目前发现的耐药机制包括EGFR二次突变、旁路替代途径激活、组织形态学转变等。其中,向肉瘤样癌转化约占1-2%,该类型是少见的肺癌类型,预后较差,传统化疗疗效较差,有效治疗手段不多。这篇文章介绍了1例TKI治疗后多种机制动态参与的晚期肺腺癌患者,该患者基于精准检测动态调整治疗方案并最终得到成功治疗。

病例介绍
 
患者为64岁吸烟男性(吸烟量为40年包),因过去1年反复胸痛于2017年7月就诊。CT检查提示左肺下叶有10.1*7.8 cm占位伴有多处纵膈淋巴结、肺门淋巴结肿大,全身检查提示肺、骨、肾上腺及肝脏转移,原发灶及骨转移灶活检均提示为含有实性成分的低分化腺癌,免疫组化检查提示CK7、TTF1、Napsin A及E-cadherin阳性但P40和CK5/6阴性,基因检测提示19del突变。
 
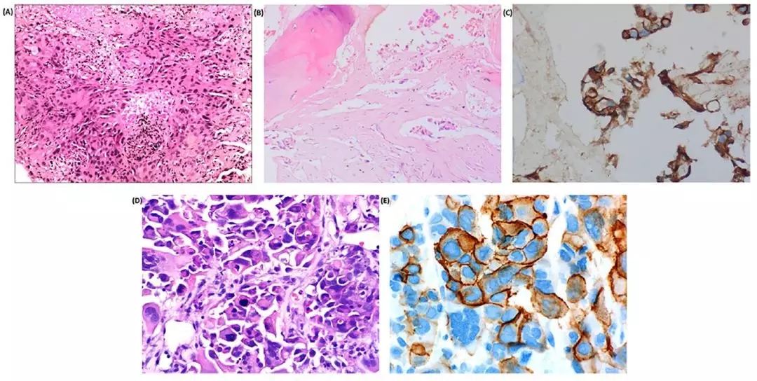
随后患者一线接受吉非替尼治疗,9个月后疾病进展,dd-PCR检测发现T790M突变,但患者接受奥希替尼治疗后无客观反应,随后接受3周期培美曲塞联合顺铂治疗。令人惊讶的是,化疗1周期后,患者右侧肝脏病灶活检提示多核巨细胞,但并无腺癌成分。免疫组化提示E-cadherin表达部分或全部消失,这提示患者出现了上皮-间充质转化(图1)。
 
图1. 患者的组织病理学结果:(A)肺部原发灶活检; (B)骨转移灶活检; (C) E-cadherin 染色; (D)再次活检的组织病理学; (E) 再次活检后E-cadherin 染色
 
基于外周血的二代测序技术发现MET拷贝数扩增,随后患者接受了克唑替尼续贯克唑替尼+吉非替尼治疗,反应持续时间为7个月。疾病进展后,液体活检提示患者T790M突变、EGFR扩增并19del突变,但MET扩增消失,因此,患者重新接受奥希替尼治疗且症状迅速缓解,1月后疗效评估为PR,但3个月后,患者疾病再次出现进展,PS评分为4分,ct-DNA检查提示T790M突变消失而MET扩增再次出现,患者接受了克唑替尼+安罗替尼的治疗,1月后PS评分由4分改善至2分,疗效评估为PR,疾病进展后发现,MET基因出现与克唑替尼耐药有关的Y1230S突变。遗憾的是患者未接受进一步治疗,2019年9月死于肺部感染。总的OS为26个月,自发生肉瘤样癌转化后的OS为16个月。患者整个治疗流程如图2。
 
图2. 患者治疗流程

讨 论
 
肺癌是高度异质性疾病,其分子特点及组织病理学特点可动态变化,在药物选择的压力下,肺癌可出现多种耐药机制。既往有研究报道了转化为肉瘤样癌后,EGFR T790M突变与MET扩增同时出现的病例,据我们所知,这是第一例动态监测耐药机制并选择相应治疗药物的病例。
 
这例患者在吉非替尼治疗进展后同时出现了MET扩增和肉瘤癌样癌转化,克唑替尼的治疗清除了携带MET扩增的肿瘤细胞,而携带T790M突变的肿瘤细胞成长为优势亚克隆,随后奥希替尼治疗又将这部分细胞的生长有效阻断,而MET扩增的肿瘤细胞又重新生长,这种情况下,克唑替尼+安罗替尼的再挑战治疗取得了一定的疗效。
 
目前,关于肉瘤样癌转化的临床病理学特点尚缺乏大规模研究。最近,Hsieh等报告了6例患者发生肉瘤样癌转化后的生存,患者的中位生存时间仅为2.5个月(1-25个月),而MET扩增在这部分患者中相对比较常见。与既往报告一致,在我们的这个病例中,同样存在E-cadherin表达下降和MET扩增,但动态监测患者的分子耐药机制,并及时给予相应的靶向治疗药物改善了患者的生存并提高了患者生活质量。肿瘤的高度异质性可能导致了其耐药机制的频繁改变和对治疗的非持久反应。
 
文献来源
https://www.clinical-lung-cancer.com/article/S1525-7304(20)30018-8/fulltext

本内容仅供医学专业人士参考


肺癌

分享到: 更多