当前位置:肿瘤瞭望>资讯>研究>正文

集思广益:MDT和MTB共同助力改善HER-2扩增晚期结直肠癌生存结局

作者:肿瘤瞭望   日期:2023/11/20 12:35:02  浏览量:13850

肿瘤瞭望版权所有,谢绝任何形式转载,侵犯版权者必予法律追究。

近年来研究发现,结直肠癌是继乳腺癌和胃癌之外,又一HER2扩增对抗HER2治疗敏感的瘤种。HER2扩增是一类相对少见且特殊的结直肠癌,其发生频率在2%-5%之间。针对HER2扩增的结直肠癌疗法,随着时间的推移与证据的累积,抗HER2的靶向治疗也逐渐获得关注。本文特别邀请到郑州大学第一附属医院肿瘤科宗红主任和靳水玲教授分享一例HER2扩增的结直肠癌患者通过MDT(多学科会诊)和MTB(分子肿瘤专家委员会)讨论,探讨HER2扩增患者的治疗及耐药后的治疗策略,使患者得到更好的生存。

▌作者:靳水玲宗红
▌作者单位:郑州大学第一附属医院
 
编者按:近年来研究发现,结直肠癌是继乳腺癌和胃癌之外,又一HER2扩增对抗HER2治疗敏感的瘤种。HER2扩增是一类相对少见且特殊的结直肠癌,其发生频率在2%-5%之间。针对HER2扩增的结直肠癌疗法,随着时间的推移与证据的累积,抗HER2的靶向治疗也逐渐获得关注。本文特别邀请到郑州大学第一附属医院肿瘤科宗红主任和靳水玲教授分享一例HER2扩增的结直肠癌患者通过MDT(多学科会诊)和MTB(分子肿瘤专家委员会)讨论,探讨HER2扩增患者的治疗及耐药后的治疗策略,使患者得到更好的生存。
 
病例摘要
 
患者为51岁女性,因“间断腹痛半年余,进行性加重1月”于2021年3月就诊于我院结直肠外科。入院时胸全腹部CT(2021-3-29)提示:降结肠远端增厚,肝内多发占位,肺内多发小结节,考虑转移。肠镜检查:在距肛门28公分处,管腔狭窄,内镜不能通过。病理提示:腺癌。
 
 
手术治疗
 
因患者存在肠梗阻症状,排除手术禁忌,于2021-04行“腹腔镜下左半结肠癌切除术”,术后病理示:腺癌,浸润至肠周脂肪组织,存在神经侵犯,脉管癌栓及肿瘤出芽,区域淋巴结转移6/14。肿瘤分期:pT3N2aM1b,IV期MSS。
 
基因检测提示:ERBB2拷贝数扩增,扩增倍数30.4,肿瘤突变负荷为4.99个突变/Mb。
 
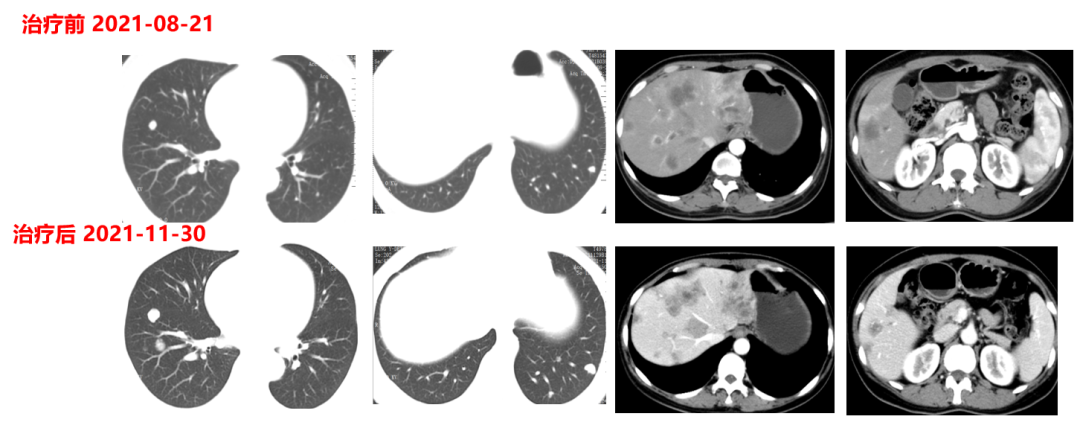
一线治疗(2021-4-17至2021-11-30,PFS:6月余):
 
于2021.04.17行“FOLFOX6”方案化疗1周期,行“奥沙利铂”化疗时,出现严重过敏。因患者基因状态为RAS,BRAF野生型,第2周期始给予“FOLFIRI+西妥昔单抗”,在治疗过程中,肿瘤标志物持续下降,影像学也显示肝脏病灶明显缩小。疗效评价PR,在2021-09-25在局麻DSA下行“肝动脉造影并化疗灌注栓塞术”。
 
 
肿瘤初次进展(2021-11-30)
 
患者于2021年11月30号复查时,肺上病灶增大增多,肝脏病灶稍增大,肿瘤标志物增高,整体疗效评价PD,考虑一线治疗进展。
 
 
第一次MDT和MTB讨论
 
1.讨论时间:2021-12
 
2.讨论意见:因患者存在HER2扩增,根据2021年NCCN指南推荐[1],对于一线治疗进展的HER2阳性,RAS和RAF野生型晚期肠癌患者,可给予双靶向联合治疗或DS-8201治疗。
 
另外,在KEYNOTE-811研究中[2],对于HER2阳性胃癌患者,给予抗HER2联合免疫联合化疗,结果显示:ORR:74%,DCR:96%,完全缓解率达11%,6个月PFS率为75%,中位生存期为27.3个月,疗效上优于化疗联合曲妥珠单抗的一线标准治疗。因此这项研究登顶Nature杂志,提示抗HER2联合免疫治疗未来可期,但是在肠癌上靶免联合是否可行尚无文献报道。
 
在基础研究上抗HER2联合免疫治疗具有协同作用[3,4]:一方面抗HER2单抗通过激活强化的固有免疫ADCC效应,使得效应细胞与单抗结合后释放穿孔素、颗粒酶等细胞毒物质来杀伤肿瘤细胞;另一方面,通过获得性免疫效应使T细胞激活、增殖。两种免疫激活机制同步产生,抗肿瘤效应得以强化。
 
 
3.治疗方案:给予双靶向抗HER2治疗,并联合PD-1抑制剂进行治疗。
 
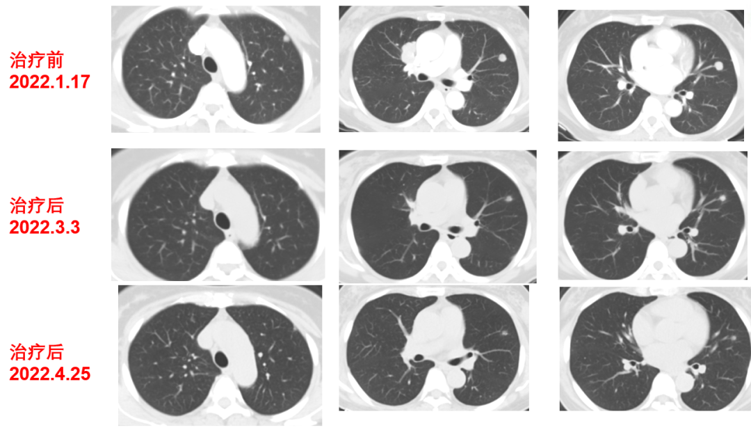
二线治疗(2021-12至2022-8-3,二线PFS:7月余):
 
于2021-12-03、2021-12-27给予伊尼妥单抗+吡咯替尼方案治疗2周期。2022.1.19始给予患者伊尼妥单抗+吡咯替尼+替雷利珠单抗治疗,两周期,四周期时的疗效评估可以看到,肺上病灶明显缩小,甚至有的病灶消失,肿瘤标志物也在持续下降。
 
 
肿瘤第二次进展(2022-8-3):在二线治疗7月余后,肿瘤标志物升高,CT也显示,肺上的病灶增大,患者双靶向+免疫治疗进展。
 
 
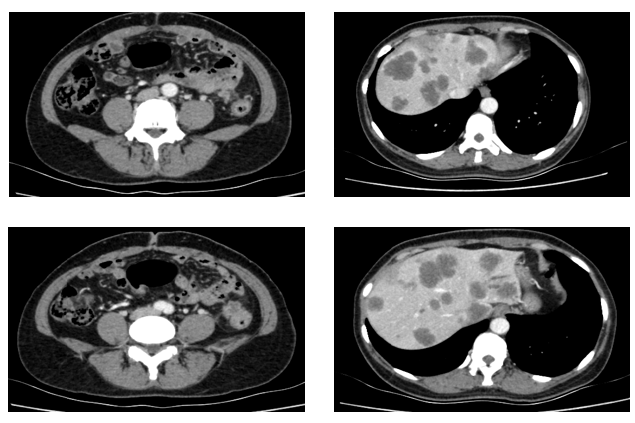
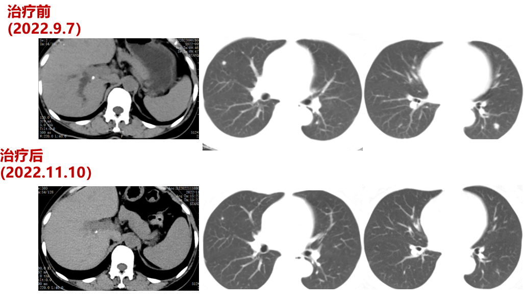
三线治疗(2022-9-7至2023-03-18,PFS:6月余):
 
2022-09-07至2023-01-03院外使用DS-8201治疗5周期。2周期后疗效评价:PR。CT示:腹膜后淋巴结较前部分缩小;双肺多发转移灶较前缩小。
 
 
残余病灶的手术切除:2023-02-22至外院行“左半肝切除术,尾状叶切除术,肝段切除术,胆囊切除术,腹腔淋巴结清扫术,肠粘连松解术,肾周围粘连分解术,肝脏肿物射频消融,肝动脉结扎,腔静脉损伤修复术”。
 
再次行基因检测,结果提示:HER2扩增倍数为5.49倍
 
CT(2023.4.14)提示:肾上腺病变较前增大,考虑PD
 
四线治疗(2023-4-25至2023-7-23,四线PFS:3月余)
 
于2023-4-25至2023-7-23给予伊立替康+呋喹替尼治疗6周期。2023-08外院磁共振示肾上腺病灶较前增大,考虑疾病进一步进展。
 
第二次MDT和MTB讨论
 
1.讨论时间:2023-08
 
2.讨论意见:HER2阳性患者,经化疗、抗HER2靶向治疗等多线治疗后进展。最近一次肝转移瘤术后行基因检测示:HER2拷贝数扩增,余无特殊药物治疗靶点的基因突变。HER2拷贝数较确诊时下降,可能与抗HER2治疗的继发耐药相关。TRIUMPH研究[5]也表明:继发耐药的患者出现了HER2拷贝数下降。C-TASK FORCE试验[6]将TAS-102联合贝伐单抗治疗不可切除的难治性结直肠癌患者,16周的无进展生存率为42.9%,表明后线患者的治疗可采用TAS-102+贝伐方案治疗。
 
3.治疗情况:经MDT讨论后,决定给予患者肝脏局部治疗及贝伐+TAS-102后线治疗。
 
五线治疗:(2023-8-29至今)
 
于2023-8-17行“肝脏肿物射频消融术”。于2023-8-29始给予患者贝伐+TAS-102治疗2周期,至今仍在治疗中。
 
病例点评
 
▌HER2扩增患者的全程管理:
 
目前晚期肠癌抗HER2治疗的研究主要针对后线治疗,双靶联合、ADC类药物等取得了很好的疗效,但缺乏一线的治疗的证据,因此这例RAS/BRAF野生型患者在一线使用了西妥昔单抗联合化疗,患者后续获得了局部处理的机会,在一线治疗进展后选择了抗HER2联合免疫、HER2 ADC药物、呋喹替尼、TAS102联合贝伐珠单抗治疗患者取得了比较好的疗效,这例HER2扩增的患者在经历多线治疗后,我们面临患者经过抗HER2治疗后如何进行挽救治疗,以及联合用药以逆转耐药的问题。
 
▌抗HER2治疗获益人群可能还需要进一步细分:
 
MOUNTAINEER研究证实了图卡替尼(TUC)+曲妥珠单抗(Tras)在HER2+转移性结直肠癌(mCRC)患者中的疗效,2023ESMO的更新进一步提示[7],具有更大程度HER2扩增的患者cORR数值更高,HER2/CEO17比值(>5 vs≤5:44.0%vs 26.7%),HER2拷贝数(>9.45 vs≤9.45:42.1%vs 25.0%),2023年ASCO GI报道的SWOG S1613研究对比了曲妥珠单抗联合帕妥珠单抗(TP)和西妥昔单抗联合伊立替康治疗HER2扩增型转移性结直肠癌的疗效[8]:TP方案可能为HER2高水平扩增(HER2/CEP17比值>5)的患者带来更大的临床获益,而比值<5的患者疗效数值上差于西妥昔单抗联合伊利替康,因此抗HER2治疗的获益人群可能还需要进一步细分。
 
▌未来的方向:
 
一项全球随机3期临床试验(MOUNTAINEER-03)正在进行中[9],以比较图卡替尼联合曲妥珠单抗和mFOLFOX6与一线标准治疗,有望为HER2扩增晚期肠癌患者提供精准的靶向治疗方案;另外抗HER2新药开发以及联合治疗也同样值得期待:TKI、抗HER2联合免疫、抗HER2联合EGFR、其他的细胞毒药物等;期待研究的结果可以帮助我们更好的布局HER2扩增患者的全程治疗。
 
总结
 
随着精准治疗和分子靶向药物的进步,结直肠癌的诊疗模式向多学科共同诊疗发展。外科、肿瘤内科、放疗科、影像科、介入科以及分子肿瘤专家委员会等多学科共同参与,有助于制订最适合患者的诊疗方案。对于该患者,在抗HER2二线治疗进展后,及时更换ADC类药物DS-8201,疾病得到良好的控制。经过外科、内科、影像与核医学科及放疗科的参与,患者经历了肝脏的术后,肾上腺的放疗使患者肿瘤负荷明显降低。正是由于MTB和MTD的存在,根据患者身体状况指定出最适合的诊治方案,该患者才能获得较长的生存获益。
 
参考文献:
 
[1].Benson A B,Venook A P,Al-Hawary M M,et al.Colon cancer,version 2.2021,NCCN clinical practice guidelines in oncology[J].Journal of the National Comprehensive Cancer Network,2021,19(3):329-359.
 
[2].Janjigian Y Y,Kawazoe A,Yañez P,et al.The KEYNOTE-811 trial of dual PD-1 and HER2 blockade in HER2-positive gastric cancer[J].Nature,2021,600(7890):727-730.
 
[3].Collins D M,Madden S F,Gaynor N,et al.Effects of HER family–targeting tyrosine kinase inhibitors on antibody-dependent cell-mediated cytotoxicity in HER2-expressing breast cancer[J].Clinical Cancer Research,2021,27(3):807-818.
 
[4].Vanneman M,Dranoff G.Combining immunotherapy and targeted therapies in cancer treatment[J].Nature reviews cancer,2012,12(4):237-251..
 
[5].Nakamura Y,Okamoto W,Kato T,et al.Circulating tumor DNA-guided treatment with pertuzumab plus trastuzumab for HER2-amplified metastatic colorectal cancer:a phase 2 trial[J].Nature medicine,2021,27(11):1899-1903.
 
[6].Kuboki Y,Nishina T,Shinozaki E,et al.TAS-102 plus bevacizumab for patients with metastatic colorectal cancer refractory to standard therapies(C-TASK FORCE):an investigator-initiated,open-label,single-arm,multicentre,phase 1/2 study[J].The Lancet Oncology,2017,18(9):1172-1181..
 
[7].Strickler J H,Cercek A,Ng K,et al.551O Impact of baseline molecular alterations on the efficacy of tucatinib(TUC)plus trastuzumab(Tras)for HER2+,RAS WT metastatic CRC(mCRC)in MOUNTAINEER[J].Annals of Oncology,2023,34:S411-S412.
 
[8].Raghav K P S,Guthrie K A,Kopetz S,et al.A randomized phase 2 study of trastuzumab and pertuzumab(TP)compared to cetuximab and irinotecan(CETIRI)in advanced/metastatic colorectal cancer(mCRC)with HER2 amplification:SWOG S1613[J].2023.
 
[9].Bekaii-Saab T S,Van Cutsem E,Tabernero J,et al.MOUNTAINEER-03:Phase 3 study of tucatinib,trastuzumab,and mFOLFOX6 as first-line treatment in HER2+metastatic colorectal cancer—Trial in progress[J].2023.
 
宗红教授
郑州大学第一附属医院肿瘤内科
主任医师教授医学博士肿瘤科一病区主任
中国老年学和老年医学学会精准医疗分会常务委员
中国医师协会肿瘤医师分会乳腺癌学组委员
中国研究型医院学会乳腺癌专业委员会常务委员
中国抗癌协会肿瘤麻醉与镇痛专业委员会委员
河南省预防医学会肿瘤控制与预防专委会主任委员
河南省研究型医院学会分子肿瘤专委会主任委员
河南省消化医学会大肠癌精准治疗专委会主任委员
河南省医学会肿瘤医学分会会副主任委员
河南省抗癌协会大肠癌专业委员会副主任委员
 
靳水玲副主任医师
郑州大学第一附属医院肿瘤科医学博士
美国UAB和郑州大学联合培养肿瘤学博士
主持国家自然科学基金1项,省厅级基金23项
以第一作者和通讯作者发表SCI 10余篇累计影响因子达100分
河南省预防医学会肿瘤预防与控制专业委员会副主任委员
河南省消化医学会大肠癌精准诊疗专业委员会副主任委员
河南省研究型医院学会分子肿瘤专委会副主任委员
河南省老年学会肿瘤专业委员会青年专家委员会常委
河南省抗癌协会肿瘤化疗青年委员会委员
河南省抗癌协会神经内分泌肿瘤专业委员会委员
河南省抗癌协会肿瘤药物临床研究专业委员会委员

 

 

本内容仅供医学专业人士参考


结直肠癌

分享到: 更多