当前位置:肿瘤瞭望>资讯>新知>正文

病例优赏丨一例同时性多原发性恶性肿瘤患者复发后接受化疗靶向联合斯鲁利单抗治疗的经验分享

作者:肿瘤瞭望   日期:2023/1/16 10:27:27  浏览量:13566

肿瘤瞭望版权所有,谢绝任何形式转载,侵犯版权者必予法律追究。

多原发性恶性肿瘤(Multiple Primary Malignant Tumors,MPMT)是指同一患者同时或先后发生2种及以上器官、组织的原发性恶性肿瘤,全身各处均可发生。

▌病例报告:陈善义深圳市人民医院
▌病例点评:徐志渊香港大学深圳医院
 
摘要:多原发性恶性肿瘤(Multiple Primary Malignant Tumors,MPMT)是指同一患者同时或先后发生2种及以上器官、组织的原发性恶性肿瘤,全身各处均可发生。根据初发恶性肿瘤和第二恶性肿瘤确诊的时间间隔,Moertel等[1]将多原发性恶性肿瘤划分为同时性多原发恶性肿瘤和异时性多原发恶性肿瘤,前者指2种以上的恶性肿瘤在6个月内接连发生,而后者指2种恶性肿瘤的发生间隔超过6个月。MPMT发病率约为2.4%-17.2%,并随着随访时间的延长而升高[2]。同时性多原发恶性肿瘤的诊断标准[3]
  • 每一种肿瘤须经组织细胞学证实为恶性肿瘤;
  • 每一种肿瘤有其独特的病理形态;
  • 必须排除互为转移的可能性;
  • 肿瘤发生在不同部位,两者不相互连续。
 
2005年,国际编码规则[4]对以上标准进行了修改,增加了:恶性肿瘤如果发生在相同器官或在成对器官中组织来源相同,则不属于多原发恶性肿瘤。
 
本文是一例同时性多原发性恶性肿瘤患者复发后接受化疗靶向联合斯鲁利单抗治疗的经验分享。
 
病例作者
陈善义主任医师
深圳市人民医院肿瘤放射治疗科
南方科技大学第一附属医院、暨南大学第二附属医院、深圳市人民医院肿瘤放射治疗科主任医师,硕士生导师,暨南大学、南方科技大学兼职教授。1993年7月毕业于中山大学附属肿瘤医院,1998年1月-7月前往中国医学科学院肿瘤医院放疗科进修。擅长头颈部恶性肿瘤如鼻咽癌、扁桃体癌、舌癌、下咽癌等诊断和放射治疗、放疗并发症的处理。对胸腹盆腔的恶性肿瘤放射治疗亦有丰富的临床经验。主持省自然科学基金项目一项,市科委课题二项,参与省市科研课题多项。发表SCI及中华系列论文20余篇。现任广东省医学会鼻咽癌专业委员会委员,广东省肝癌专业委员会理事,深圳医学会淋巴瘤专业委员会副主任委员,深圳市医学会胃肠肿瘤专业委员会常务理事,深圳市医师协会胸部肿瘤医师分会常务理事,深圳市医师协会肿瘤专业委员会理事,深圳市抗癌协会放疗专业委员会常务委员,中华医学会广东省医师协会放射肿瘤专业委员会委员。
 
病例介绍
 
▌一般情况及病史:
 
患者:杨XX,女,76岁,广东人。
 
主诉:进行性吞咽困难8月。
 
既往史:3年前行白内障手术,余无特殊。
 
个人史:否认吸烟、饮酒。
 
家族史:无特殊。
 
▌体征及辅助检查:
 
体格检查:
 
双侧颈部、锁骨上窝未及肿大淋巴结。气管居中。胸廓对称、无畸形、无异常突起,颈静脉未见怒张,未见反常呼吸,三凹征(-)。呼吸运动正常,肋间隙未见明显异常;左肺呼吸音稍弱,语颤减低。双肺未闻及干湿啰音,未闻及胸膜摩擦音。胸骨后、胸椎无压痛。
 
辅助检查:
 
血常规、生化、凝血功能、甲状腺功能、心肌酶谱等未见明显异常。
 
肿瘤标志物:SCC、Cyfra21-1未见异常。糖基抗原19-9 31.30↑U/ml,癌胚抗原9.510↑μg/L。
 
 
影像学检查:
 
PET-CT(2020-08-13):食管胸下段管壁不均匀增厚,见放射性摄取增高,大小约18×14×27mm,SUVmax 14.6,符合食道癌表现。右侧肺门及纵隔(4R、5、7区)可见多个稍肿大淋巴结,最大约8×5mm,考虑炎性淋巴结可能性大。
 
 
左肺上叶尖后段团块状密度增高影,PET见放射性摄取增高,大小约40×29×31mm,SUVmax 28.0。病灶跨越左侧斜裂胸膜生长,密度均匀。左肺上叶胸膜下可见多发微小结节状密度增高影。建议治疗后复查,必要时活检排外恶性肿瘤的可能。
 
 
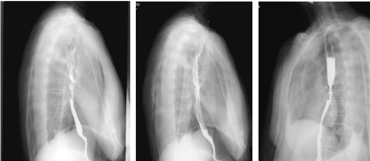
上消化道钡剂造影(2020-08-14):相当于胸7-9椎体水平的食道见范围长约35mm的狭窄段,管壁僵硬,粘膜皱襞破坏、中断,轮廓不光整,可见偏心性充盈缺损及小刺状龛影,狭窄段以上食管轻度扩张,对比剂排空延迟,余食道壁柔软,粘膜规则,未见充盈缺损及龛影,未见异常狭窄及扩张,贲门结构正常,开闭自如。
 
 
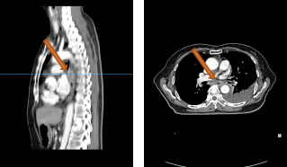
胸部平扫+增强CT(2020-08-27):食道中段管壁增厚,上下累及约4.5厘米(约胸5/6椎间隙水平至胸8椎体上缘水平),增强后可见轻度强化,隆突下见境界不清淋巴结。左肺上叶尖后段及相邻左肺下叶背段交界处见团块状直径约2.5厘米软组织密度灶,边缘可见毛刺,左侧胸腔积液,左下肺膨胀不全。右肺下叶见少许条状影。结论:1、食管癌。2、左肺上叶尖后段病灶,符合肺癌。左侧胸腔积液,左下肺膨胀不全。
 
 
病理结果:(肺占位组织)见癌组织浸润,结合免疫组化结果,病变为肺浸润性腺癌。免疫组化:CK7(+)、TTF-1(+)、NapsinA(+)、Syn(-)、P63(个别细胞+)、P40(-)。
 
肺癌组织NGS结果:1、MET基因c.3028+1G>T第14外显子跳读突变,组织丰度:7.5%,FDA批准药物:克唑替尼、卡马替尼、特泊替尼等靶向治疗。2、未检测到MSI-H。3、未检测到ALK、BRAF、BRCA、EGFR等突变。
 
食管癌组织因外院活检,无法获取更多的病理白片,未能行NGS检测,无法获取食管癌PD-L1表达情况。
 
初步诊断:
 
同时性食管、肺双原发癌(食管鳞状细胞癌cT3N0M0 IIb期;左肺腺癌cT3N0M0IIb期,MET基因跳跃突变阳性)
 
▌治疗经过
 
一线治疗
 
2020-08-27行放疗CT定位。2020-09-07~2022-10-23行肺部、食管放疗。
 
GTVp1为食管肿瘤,GTVp2为肺肿瘤。
 
分割方式:
 
95%PGTVp1:60Gy/2Gy/30F;
 
95%PGTVp2:60Gy/2Gy/30F;
 
后肺原发灶补量照射:95%PGTVp2:8Gy/2Gy/4F。
 
放疗同期行同步化疗+靶向治疗,具体方案为:洛铂50mg d1 q21d+尼妥珠单抗400mg Qw。放化疗前开始行重组人血管内皮抑制素(恩度)30mg d1-7q3w抗血管靶向治疗。放化疗结束后给予抗血管靶向及针对肺原发灶TKI靶向治疗维持,TKI靶向:克唑替尼250mg Bid po Qd。治疗后3个月,患者拒绝继续恩度靶向治疗。治疗后6月患者拒绝克唑替尼治疗。考虑肺癌为驱动基因阳性型,未能行食管癌治疗后免疫治疗维持。
 
疗效评估及随访
 
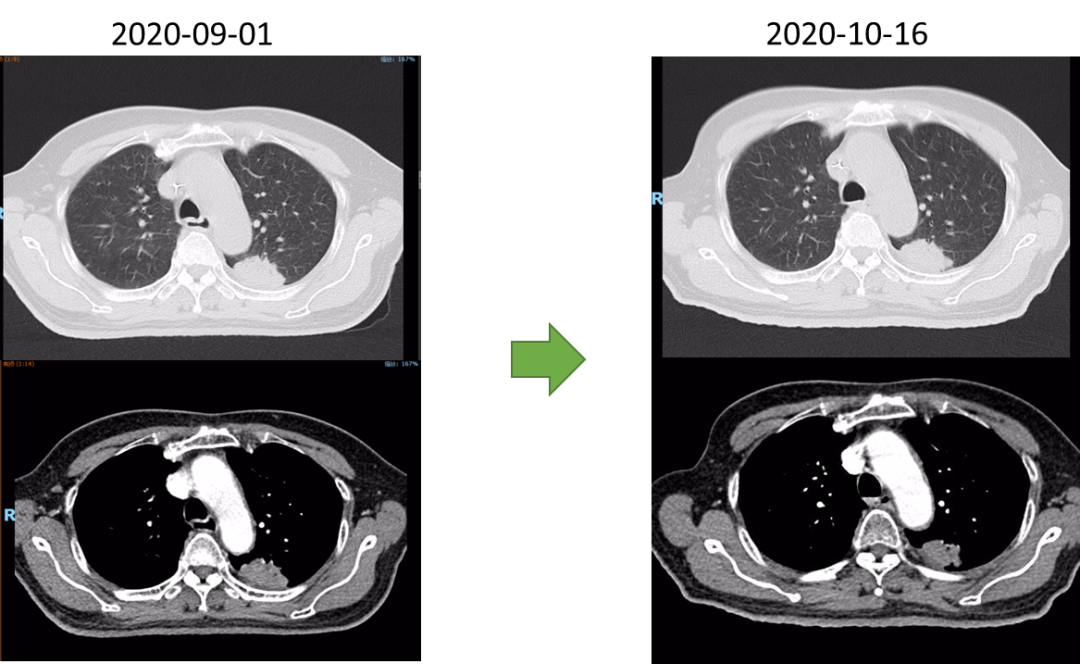
放射治疗结束复查胸部CT:左肺上叶尖后段与左肺下叶背段交界处病灶较前略显缩小,现最大横断面约2.6*2.8厘米,边缘可见毛刺,增强后可见强化,邻近胸膜稍增厚。食道中段管壁增厚,上下累及约4.5厘米(约胸5/6椎间隙水平至胸8椎体上缘水平),增强后强化程度似较前有所减低,隆突下见境界不清淋巴结。
 
 
2021-01-15胃镜:距门齿26cm处食管局部黏膜苍白,见一纵行白色疤痕,局部无狭窄或新生物。
 
2021-06-04胸部平扫+增强CT:1、双肺多发斑片影较前稍减轻、改善,拟放疗后改变;余双肺多发小结节,同前相仿,建议随访。2、食道胸段管壁增厚(约胸6椎间隙水平至贲门水平),同前相仿,请结合临床。
 
 
2021-10-28外院PET-CT:原食管胸下段管壁高代谢灶较前缩小,放射性较前减低,现大小约15×17×17mm,SUVmax 3.1,考虑为治疗后改变。左肺上叶团块状高代谢灶较前缩小,放射性摄取较前减低,现大小约25×18mm,SUVmax 2.1,考虑为治疗后改变。
 
 
2022-03患者再次出现吞咽困难。
 
2022-03-22深圳市前海蛇口自贸区医院胸部CT:双肺多发纤维增殖灶,左肺上叶前段、右肺上叶尖段小结节,食管中段管壁稍增厚。
 
2022-03-22胃镜:食管新生物,慢性萎缩性胃炎伴胆汁反流。
 
2022-03-23病理:中分化鳞状细胞癌。
 
2022-03-28 PET-CT:1、食管癌放化疗后,食管胸中段管壁不规则增厚伴结节状代谢增高,与上次(2021-10-28)PET/CT检查对比,病灶代谢较前明显增高,考虑为肿瘤复发病灶。2、左肺癌放疗后及靶向药治疗后,原左肺上叶团块状高代谢“肿瘤灶”,现范围较前稍缩小,代谢较前稍减低,考虑为治疗后改变(肿瘤完全活性受抑,伴少许炎性反应可能)。
 
 
复发诊断:
 
1、食管鳞状细胞癌cT3N0M0 IIb期综合治疗后复发rT3N0M0 IIb期
 
2、左肺腺癌cT3N0M0IIb期综合治疗后
 
二线治疗
 
2022年-04-01~2022年08-行化疗+靶向+免疫治疗,具体方案为白蛋白紫杉醇260mg/m2即400mg d1 q3wX6周期;化疗同时行尼妥珠单抗400mg q3w;化疗同期行斯鲁利单抗200mg q3w治疗及维持治疗至今。
 
最佳疗效评估:2022-10-13胃镜:进镜至食管中段距门齿30cm处环形狭窄,所见食管上段黏膜充血水肿。
 
 
▌病例小结
 
 
该患者为76岁老年女性,既往无特殊病史,初诊同时性食管、肺双原发癌(食管鳞状细胞癌cT3N0M0 IIb期左肺腺癌cT3N0M0IIb期)。尽管食管癌、肺癌可手术治疗,但患者年龄较大,患者及家属均不愿意行手术治疗,请胸外科医生会诊,亦无法手术。为尽快控制原发病灶,根据最新NCCN指南,予先进行肺部及食管局部放疗,同期予化疗、靶向治疗。一年半左右时间后患者再次出现吞咽困难,胃镜检查发现食管新生物,活检病理确诊为食管鳞癌复发。复发食管癌无法手术及再行放射治疗,但近年来已有多个PD-1单抗在复发转移的晚期食管癌中显示出了疗效,多个PD-1产品在晚期食管癌的治疗中获批,尤其是今年获批上市的斯鲁利单抗在同类免疫检查点抑制剂中显示出了良好的安全性,因此该患者使用了白蛋白紫杉醇+尼妥珠单抗联合斯鲁利单抗治疗,取得了PR的疗效,且患者未出现免疫相关不良反应。该病例显出了斯鲁利单抗在复发转移的晚期食管癌患者免疫联合治疗中的疗效及安全性,为后续食管癌的诊疗提供新的思路。
 
点评专家
徐志渊
香港大学深圳医院肿瘤医学中心
顾问医生、副主管、教学主任
其他相关职务:
深圳市医学会第一届放射肿瘤治疗专业委员会副主任委员
深圳市医师协会放射肿瘤治疗专业委员会第一届委员会副主任委员
广东省医师协会放射治疗医师分会第二届委员会常务委员
广东省医师协会医养结合医师工作委员会第一届委员会常务委员
广东省医学会放射肿瘤学分会第七届委员会委员
广东省抗癌协会鼻咽癌专业委员会第一届委员会委员
广东省临床医学学会头颈肿瘤综合治疗专业委员会委员
深圳市医学会第五届肿瘤专业委员会常务委员
深圳市抗癌协会临床试验委员会青年常务委员
深圳市乳腺癌防治中心乳腺放疗组副组长
深圳市医师协会妇科肿瘤专业委员会第一届委员会理事
深圳市医学会第一届胸部肿瘤MDT专业委员会委员
临床专长:
擅长恶性肿瘤的放射治疗及化疗、靶向治疗、免疫治疗。
成就及荣誉:
参加国家自然科学基金项目1项,第一负责人获得省级项目2项、市级项目3项。
以第一作者或通讯作者发表专业学术论文21篇。
获得放射治疗实用专利一项
 
病例点评
 
本病例是食管鳞癌和肺腺癌同时性双原发性恶性肿瘤患者,经过放化疗综合治疗后肺腺癌控制良好,食管鳞癌复发,再行化疗联合免疫治疗复发食管鳞癌有效。
 
2022年陈明教授发表在CCR的研究[5]显示,针对食管鳞癌患者,放疗60Gy对比50Gy(同期化疗采用每周TP方案,放化疗后巩固2周期TP方案化疗)有着相似的生存率(3年生存率:53.1%vs 52.7%),但是重症肺炎发病率更高。有更多的前瞻性研究和综述分析[6-7]显示大于50Gy的同期放化疗不能带来生存获益。但是我们需要注意的是,针对各种原因不能耐受或不能接受标准同期化疗的患者来说,根据实际情况增加放疗剂量是合理的。
 
针对复发不可手术食管鳞癌,化疗联合免疫治疗之后行免疫维持治疗已经成为一线标准推荐,比如CheckMate 648[8]、KEYNOTE-590[9]、ASTRUM-007[10]、JUPITER-06[11]、ESCORT-1st[12]等研究均显示化疗联合免疫治疗可以显著提高复发转移食管癌的生存获益,化疗联合免疫治疗食管鳞癌已经成为NCCN、ESMO、CSCO等国内外指南的一致推荐。
 
▌参考文献
 
[1]MOERTEL C G,DOEKERTY M B,BAGGENSTOSS A H.Multiple primary malingnant neoplasmsⅡtumors of different tissues[J].Cancer,1961,14(2):231-237
 
[2]Alexia Vogt,et al.Multiple primary tumours:challenges and approaches,a review.ESMO Open,2017 May 2;2(2):e000172.
 
[3]WARREN S,GATES O.Multiple primary malignant tumors:asurvery of theliterature and a statistical study[J].aM J Cancer,1932,16(2):1358-1414.
 
[4]Working Group Report.International rules for multipe primary cancers(ICD-0 thind edition)[J].EurJ CancerPrve,2005,14(4):307-308
 
[5]Xu Y,Dong B,Zhu W,et al.A Phase III Multicenter Randomized Clinical Trial of 60 Gy versus 50 Gy Radiation Dose in Concurrent Chemoradiotherapy for Inoperable Esophageal Squamous Cell Carcinoma[J].Clin Cancer Res,2022,28(9):1792-9.
 
[6]Brower JV,Chen S,Bassetti MF,et al.Radiation Dose Escalation in Esophageal Cancer Revisited:A Contemporary Analysis of the National Cancer Data Base,2004 to 2012[J].Int J Radiat Oncol Biol Phys,2016,96(5):985-93.
 
[7]Boustani J,Créhange G.[Dose-escalated radiotherapy in esophageal cancer:A review of the literature][J].Cancer Radiother,2022,26(6-7):884-9.
 
[8]Doki Y,Ajani JA,Kato K,et al.Nivolumab Combination Therapy in Advanced Esophageal Squamous-Cell Carcinoma[J].N Engl J Med,2022,386(5):449-62.
 
[9]Sun JM,Shen L,Shah MA,et al.Pembrolizumab plus chemotherapy versus chemotherapy alone for first-line treatment of advanced oesophageal cancer(KEYNOTE-590):a randomised,placebo-controlled,phase 3 study[J].Lancet,2021,398(10302):759-71.
 
[10]Huang J,Song Y,Kou XG,et al.First-line serplulimab versus placebo in combination with chemotherapy in PD-L1-positive esophageal squamous cell carcinoma(ASTRUM-007):a randomized,
 
double-blind,multicenter phase 3 study[C].2022年CSCO学术年会论文汇编,北京:临床肿瘤学杂志,2022.
 
[11]Wang ZX,Cui C,Yao J,et al.Toripalimab plus chemotherapy in treatment-naïve,advanced esophageal squamous cell carcinoma(JUPITER-06):A multi-center phase 3 trial[J].Cancer Cell,2022,40(3):277-88.e3.
 
[12]Luo H,Lu J,Bai Y,et al.Effect of Camrelizumab vs Placebo Added to Chemotherapy on Survival and Progression-Free Survival in Patients With Advanced or Metastatic Esophageal Squamous Cell Carcinoma:The ESCORT-1st Randomized Clinical Trial[J].Jama,2021,326(10):916-25.

本内容仅供医学专业人士参考


多原发性恶性肿瘤

分享到: 更多