当前位置:肿瘤瞭望>资讯>正文

廖宁教授团队发文CLIN MED INSIGHTS杂志,HER2低表达、高异质性的MBC,应用DS-8201后获得11个月OS

作者:肿瘤瞭望   日期:2022/4/14 11:07:47  浏览量:15278

肿瘤瞭望版权所有,谢绝任何形式转载,侵犯版权者必予法律追究。

15%~20%的乳腺癌患者存在HER2过表达或扩增。HER2阳性患者是指IHC评分3+或IHC 2+且ISH阳性,而IHC评分为1+或2+且ISH阴性则被定义为HER2低表达,但现行的HER2检测指南则认为这些患者为HER2阴性。

 
15%~20%的乳腺癌患者存在HER2过表达或扩增。HER2阳性患者是指IHC评分3+或IHC 2+且ISH阳性,而IHC评分为1+或2+且ISH阴性则被定义为HER2低表达,但现行的HER2检测指南则认为这些患者为HER2阴性。在过去的20年里,由于靶向治疗的出现,HER2阳性乳腺癌患者的临床治疗结局已经获得显著改善,目前可用的HER2靶向治疗药物对于HER2低表达乳腺癌来说尚未被证明有效,因此,HER2低表达患者未被推荐使用HER2靶向治疗药物。此外,乳腺癌的异质性可能使患者在治疗中HER2状态发生变化,使治疗难度增加。
 
DS-8201是一种新型ADC药物,Modi1等人曾报道了DS-8201在治疗HER2低表达的乳腺癌和控制疾病进展方面有较好的效果。Ogitani2等人在临床前研究中报道了DS-8201治疗具有异质性肿瘤的有效性。在此,我们将介绍一例23岁被诊断为HER2低表达和异质性表达的转移性乳腺癌患者,尽管该患者此前接受了多重治疗还伴随脑和肝转移,但通过DS-8201治疗后患者获得了症状改善,转移范围减少,最终获得了11个月的OS。
 
病历简介
 
基本信息:
 
患者女,23岁,2014年1月因发现“右乳肿块10 cm”就诊。
 
穿刺活检:浸润性导管癌3级,雌激素受体(ER)阳性,孕激素受体(PR)阴性,HER2 IHC评分2+,ISH阴性。
 
基因检测结果示:BRCA1、BRCA2和TP53为阴性。
 
骨扫描和脊柱磁共振成像(MRI)示:胸椎10转移。
 
初步诊断:右乳浸润性导管癌(Ⅲ级)伴胸椎转移,Luminal B(HER2低表达)
 
诊疗经过
 
新辅助及手术治疗:
 
患者接受4个周期EC-P化疗+戈舍瑞林治疗,随后接受右乳房肿瘤切除术(ypT2NM1)和腋窝淋巴结清扫术。
 
术后辅助治疗:
 
通过放疗和内分泌治疗获得了17个月的无进展生存期(PFS)。
 
疾病进展伴骨转移,为此接受了一系列治疗,包括CDK 4/6抑制剂、内分泌治疗、靶向治疗、化疗和放疗,但疾病持续进展。2019年11月,观察到转移进展至肝脏、淋巴结和除骨骼以外的小鼻咽部。
 
2019年11月,观察到转移进展至肝脏、淋巴结和鼻咽部(未侵及鼻咽部骨骼)。2020年1月,患者出现左耳听力接近耳聋症状,随后几天出现恶心和头晕。
 
肿瘤标志物:CA153:666.7 ng/mL,CEA:496.6 ng/mL。
 
MRI扫描示:多发性脑转移,随后进行化疗和断层放疗。
 
2020年2月,FoundationOne CDx示成纤维细胞生长因子基因扩增。
 
2020年3月,MRI显示肝脏、颈椎、胸腰椎、骶骨、双侧髂骨、脑和脊髓多发性转移结节。
 
转移癌肝活检示:三阴性(HER2-、ER-、PR-)、程序性死亡配体-1(PD-L1)阴性。
 
由于肝活检的激素和HER2受体结果均与2014年的原始样本结果不同,因此,于2020年3月对2020年2月从肝脏采集的组织进行了复检。
 
结果显示ER阴性,PR阳性10%,HER2 IHC评分1 +,表明相同样本中的异质性。
 
在开始口服长春瑞滨治疗后,对下背部进行放疗,每次30 Gy,分10次。
 
2020年3月肿瘤标志物水平:CA153:1735 ng/mL、CEA:728.86 ng/mL、CA199 1308.3ng/mL。
 
2020年4月,开始盐酸安罗替尼胶囊治疗。
 
2020年5月4日,观察到肿瘤标志物水平升高和肝功能异常,总胆红素和直接胆红素水平分别为14.6和5.6?mol/L。
 
DS-8201后线治疗:
 
DS-8201于2020年5月6日开始第1个疗程的治疗,特定症状(如疼痛)消失;在DS-8201治疗第一个疗程后1周,停用止痛药,患者能够从床上起床行走。
 
继续DS-8201的第2、3、4、5和6周期治疗(至2020年5月27日、6月24日、7月13日、8月3日和8月24日)。
 
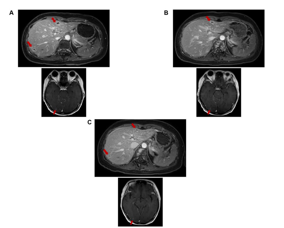
与2020年5月6日(治疗前)的MRI图像相比(图1A),2020年8月3日(4个疗程后)的MRI显示颅内(最大位于右枕叶,8-6 mm)、脑膜、颈胸腰段椎体脊髓膜、脊髓和肝多发转移灶(最大位于S3,12-9 mm)减少(图1C),肝内转移灶则在2020年6月17日(2个疗程后)肝内转移灶较MRI缩小(图1B)。
 
图1. 脑和肝脏的MRI图像。(A)2020年5月6日MRI(DS-8201治疗前)。(B)2020年6月17日MRI(2个疗程后)。(C)2020年8月3日MRI(4个疗程后)。
 
CA153、CEA和CA199的肿瘤标志物水平分别从1735降至340 ng/mL、从962.58降至139.8 ng/mL和从1740降至257.1 ng/mL(图2)。肝功能也得到改善,总胆红素为5.6?mol/L,直接胆红素为2.7?mol/L。DS-8201治疗组患者报告轻度不良事件(1级呕吐和疲乏)。
 
图2. 肿瘤标志物和胆红素的变化。
 
在DS-8201治疗的第7个周期后,患者出现头晕。2020年9月28日的磁共振成像显示软脑膜转移恶化,脑实质转移持续缩小。
 
在MDT讨论下,判断患者不适合放疗(因为之前进行了全脑放疗)。因此,根据建议继续使用DS-8201以及内分泌治疗和其他对症治疗。然而,患者的情况恶化,在2020年11月19日第10个周期后停止DS-8201治疗。
 
姑息治疗:
 
随后大部分治疗集中于支持治疗和对症处理。
 
12月11日MRI发现多发新型脑及软脑膜转移,患者于2021年4月死亡。
 
DS-8201的治疗持续时间为6.4个月,自DS-8201开始的总生存期约为11个月。
 
图3. 患者整体治疗经过
 
点评和讨论
 
HER2扩增/蛋白表达被认为是一个独立的预后因素,是总生存期和疾病复发时间的预测因子。一些研究证实HER2基因的异质性在乳腺癌中以不同的频率(1%~34%)发生,并且与较短的总生存期和无病生存患者的较差预后有关。因此,HER2基因异质性的临床影响目前仍在讨论中。
 
临床肿瘤学家在考虑患者HER2状态时采用双重治疗策略,HER2阳性的患者被定义为HER2扩增或过表达时,应用抗HER2治疗药物。然而,当前许多药物如单克隆抗体(曲妥珠单抗、帕妥珠单抗和margetuximab)和T-DM1在HER2低表达的乳腺癌患者进行探索的有效性并不令人满意。此外,一项随机临床试验报告了曲妥珠单抗在这一人群的治疗中并没有作用。
 
本文报道了一例23岁晚期乳腺癌患者治疗的病例,该患者为HER2低表达,且呈现出较强的HER2异质性。尽管该患者接受了内分泌和化疗方案的治疗,但患者疾病仍持续进展,DS-8201治疗表现出了较好的治疗疗效。
 
DS-8201于2019年12月获得美国食品和药物管理局批准,用于治疗无法切除或转移的HER2阳性乳腺癌患者,在转移性乳腺癌患者的治疗中,患者需经2线或多线的抗HER2治疗。这一适应症的加速获批是基于Ⅱ期DESTINY-Breast01研究的结果,该研究中大多数患者都接受过多重治疗方案,其转移性乳腺癌患者的中位治疗线数为7线(范围2~27)。DS-8201显示出了显著的疗效,主要终点客观缓解率(ORR)为60.9%,中位持续缓解时间(DoR)为14.8个月(95%CI:13.8~16.9)。
 
此外,在一项Ⅰ期试验中,DS-8201在54例晚期/不可切除或转移性HER2低表达乳腺患者中进行了探索。结果表明DS-8201具有较好的抗肿瘤活性,ORR为37%,DoR为10.4个月,疾病控制率(DCR)为87%,中位PFS为11.1个月,中位OS为29.4个月。HER2低表达患者安全性可控。而DS-8201用于HER2低表达MBC患者的Ⅲ期DESTINY-Breast04研究已经宣布达到PFS和OS双阳性结果,其数据将在近期国际肿瘤学会议上报道;此外,DAISY研究显示,DS-8201在“HER2零表达”人群中也有疗效获益,正在进行的DESTINY-Breast06研究也纳入了IHC +的极低表达人群。这些研究将继续扩大DS-8201的治疗边界,其结果非常令人期待。
 
本病例中患者在接受了多线治疗后,开始接受DS-8201的治疗。DS-8201治疗过程中也观察到了转移部位肿瘤缩小和肿瘤标志物降低,再次证实了Ⅰ期临床研究的结果。与此同时,对DESTINY-Breast01研究的事后分析表明,DS-8201在早期治疗中使用效果更好;近期发表于NEJM的DESTINY-Breast03研究已经证实DS-8201可较以往国际标准二线治疗T-DM1显著改善患者PFS。因此,更早使用DS-8201可能会带来更好的治疗效果。
 
DS-8201是新型ADC药物,与第一代HER2 ADC药物T-DM1相比,具有以下几个显著的特点,包括:载荷药物DXd是一种高效的新型拓扑异构酶Ⅰ抑制剂;DS-8201的药物抗体比值(DAR)比T-DM1高得多(8 vs 3.5);DS-8201具有独特的四肽连接子,均一性好,水解后的载荷药物可以发挥强效的旁观者效应。这些显著特点可能是DS-8201在HER2低表达和HER2异质性表达的乳腺癌患者中具有抗肿瘤活性的原因。
 
此外,内分泌治疗诱导的修饰、化疗和放疗等多种因素可促进HER2蛋白的过度表达。因此,本病例在治疗过程中再次检测了患者的HER2状态,并发现了患者HER2的差异表达,同时这一结果也表明肿瘤具有时间和空间异质性。在这种情况下,发现DS-8201即使在HER2基因检测阴性但IHC蛋白表达低阳性的情况下也有效,这与Modi等人先前的研究一致。
 
本研究报告了DS-8201在HER2 IHC评分为1+的乳腺癌患者和HER2 IHC评分为2+的乳腺癌患者患者中具有相似的疗效,这是首次在中国患者中报道DS-8201在HER2低表达和异质性的晚期乳腺癌患者的治疗疗效。
 
HER2低表达乳腺癌患者可能构成HER2不同表达程度患者的一个子集,并且可能会促使乳腺癌患者中HER2状态的定义发生转变,未来乳腺癌患者的治疗可能分为3类治疗:HER2阳性、HER2阴性和HER2低表达,而考虑到肿瘤的异质性,重复的实验室检测可以确保准确的诊断和治疗方法的选择。
 
此外,本例患者经DS-8201有效控制颅内病变数月,这种脑转移的疗效可考虑进行Ⅱ期研究。目前,涉及HER2低表达患者的2个Ⅲ期临床试验正在进行中,DS-8201联合免疫疗法治疗HER2低表达乳腺癌患者的Ⅰb期试验也已启动,期待更多相关数据的出现。
 
 
参考文献:
 
1、Modi S, Park H, Murthy RK, et al. Antitumor activity and safety of trastuzumab deruxtecan in patients with HER2-low–expressing advanced breast cancer: results from a phase Ib study. J Clin Oncol. 2020;38:1887-1896. doi:10.1200/JCO.19.02318.
 
2、Ogitani Y, Hagihara K, Oitate M, Naito H, Agatsuma T. Bystander killing effect of DS-8201a, a novel anti-human epidermal growth factor receptor 2 antibody-drug conjugate, in tumors with human epidermal growth factor receptor 2 heterogeneity. Cancer Sci. 2016;107:1039-1046. doi:10.1111/cas.12966
 
3、Li C, Ren C, Wen L, et al. Heterogenous and Low Expression of HER2 in Breast Cancer Overcome by DS-8201a in a Heavily Treated Patient: Case Report and Review of the Literature. Clin Med Insights Oncol. 2022;16:11795549211072880. Published 2022 Feb 23. doi:10.1177/11795549211072880
 
后记:为促进乳腺领域中外专家的交流与沟通,提高我国乳腺癌患者的整体诊疗水平,推进乳腺癌诊疗迈向创新发展的新征程。肿瘤瞭望媒体在壬寅虎年隆重开办“共君一席话”系列栏目,该项目共分为“天涯共此时、共说此丰年、云影共徘徊、谁与共争锋、百家共争鸣”五个章节,包含中外连线、MDT会诊、热点辩论等多种形式,扫描二维码进入项目专栏,欢迎收藏此网站,更多精彩内容等你来!
 
 
作者简介
 
 
廖宁 教授
 
广东省人民医院外科乳腺科行政主任,博士生导师
 
美国肿瘤外科医师协会(SSO)国际理事会理事
 
国际前哨淋巴结协会(ISNS)国际理事会理事
 
美国癌症研究协会(AACR)中国区顾问
 
国家卫计委医政司《乳腺癌治疗规范》编写组成员
 
国家卫计委《乳腺癌诊断指南》专家组成员
 
国家卫计委合理用药专家委员会《肿瘤药物组》专家组成员
 
美国NCCN乳腺癌指南(中文版)专家组成员
 
St Gallen国际乳腺癌指南(中文版)专家组成员
 
擅长领域:擅长乳腺肿瘤微创手术,专长乳腺癌的早期诊断和化疗、靶向治疗、内分泌治疗等结合的综合治疗,以及晚期、难治性乳腺癌的治疗
 
发表文章:第一作者或通讯作者发表论文30余篇。
 
科研及获奖:以第一研究者承担多项国家自然科学基金、国家自然科学青年基金

本内容仅供医学专业人士参考


乳腺癌

分享到: 更多