虽然PD-1/PD-L1免疫检查点抑制剂、FGFR抑制剂等免疫和靶向治疗为晚期尿路上皮癌患者带来了新的治疗选择,但主要为PD-L1、FGFR1/2阳性患者受益。

编者按:虽然PD-1/PD-L1免疫检查点抑制剂、FGFR抑制剂等免疫和靶向治疗为晚期尿路上皮癌患者带来了新的治疗选择,但主要为PD-L1、FGFR1/2阳性患者受益。对于无上述靶点的患者,或可通过NGS检测发现其他潜在有效的药物。本期“抗HER之路 与妮携行”报告了一例转移性膀胱癌患者,在基因检测指导下通过多种靶向治疗获得了30个月的PFS,而其中吡咯替尼贡献了长达15个月的PFS。
病例报告
病例摘要
患者,吴XX,男,84岁,主因“膀胱癌术后22月,发现肺转移1月”于2018年3月转诊我科。
现病史:
患者于2016年5月因血尿就诊于外院,无其他不适。考虑膀胱癌,行手术治疗。术后病理:浸润性乳头状尿路上皮癌。术后观察。
2017年7月行全身PET-CT提示右肺上叶高代谢病灶。2017年8月份行肺穿刺活检未能明确病理诊断。2017年10月份再次行全身PET-CT:右上肺结节增大,代谢增高,与家属商量后,外院予试用口服“吉非替尼”靶向治疗。
2018年1月复查胸部CT:右肺占位较前增大,余无明显特殊不适。外院再次行肺穿刺活检,病理:右肺组织见癌转移(符合膀胱癌肺转移)。2018年3月14-29日于我院行肺转移灶局部放疗。2018年5月15日-7月11日予标准方案化疗2周期。期间病情稳定。2018年10月复查,局部肺转移灶增大进展、且出现肺新转移灶,评估疗效PD,行NGS全基因检测,根据检测结果,即选用阿法替尼口服行靶向治疗。
2019年9月14日复查,肺转移灶较前增大,考虑靶向耐药,我院予局部穿刺活检,病理:符合尿路上皮转移癌。2019年10月再次行NGS全基因检测,根据基因检测结果,于2019.11月开始选用“奥拉帕利”口服治疗。
2020年3月复查,病灶再次进展,参考前次基因检测结果,结合临床情况,即开始给予口服吡咯替尼80mg每日一次,2020年4月25因心梗住院治疗。停药约2周。复查示原转移灶稍增大,考虑是否与停药有关,故继续维持吡咯替尼治疗。期间多次复查,病情稳定。局部考虑缓慢进展可能。但综合考虑临床情况,仍继续维持原方案治疗。
2021年5月19日常规复查CT考虑多发肝转移,肺原局部病灶稍进展。考虑吡咯替尼耐药,即予停用。即予“替雷利珠”200mg行免疫治疗1次。无明显副反应。2021年6月因肺部感染、合并心衰去世。
既往史:
糖尿病30余年,糖尿病肾病6年余。冠心病5年余。
查体:
PS 0-1分,营养中等,发育正常,神志清,精神可,无紫绀,皮肤巩膜无黄染;颈项软,气管居中,未见颈静脉怒张。心肺听诊无殊。腹软,无压痛、无反跳痛,Murphy征阴性,未及腹腔包块,移动性浊音(-),软,无压痛,无反跳痛,未触及包块,中下腹可见一约4cm手术疤痕。右下腹可见一膀胱造瘘口,连接尿管,功能正常。双肾区无叩痛,肠鸣音4次/分。肛诊(-)。
辅助检查:
治疗过程中,持续监测血常规正常。
血生化:血清肌酐如下表所示,余肝肾功能等生化指标基本正常。
病理:
1、术后病理(2016-05,外院):膀胱+前列腺全切术后,浸润性乳头尿路上皮癌 高级别,部分区域鳞状分化,浸润膀胱壁深至肌层,累及膀胱三角区,向下累及尿道前列腺部粘膜固有层,局部浸润尿道旁平滑肌,双侧精囊腺及尿道断裂段未见累及;大小2.5*1.5*1.2;CK20+,CK79+,CK5/6+,P53+,P63+,Ki-67 70%,P63+,CKH+,P504S局部+;淋巴结1/19:左侧髂内0/2,左侧髂外0/4,左侧髂内1/7,右侧髂内0/6;
2、肺组织穿刺活检病理(2018-01,外院):右肺组织见癌转移(符合膀胱癌肺转移)
3、肺组织穿刺活检病理(2019-09,本院):结合免疫组化结果及临床病史,符合转移性尿路上皮癌,膀胱来源。镜下描述:切片示纤维组织内有异形细胞呈巢团状分布,未见腺样结构,肿瘤细胞显著异形。特殊染色:CK 5/6阴性,CK 7阳性,CK 20阳性,GATA 阳性,Ki-67 60%阳性,Napsin阴性,P40部分阳性,P53无义突变,Uroplkin部分阳性,TTF-1 阴性。
基因检测:
2018-10检测结果:PD-L1阴性;ARID1A基因4.34%,ERBB2基因CN=3.1,POLE基因6.2%,TP53基因6.90%
2019-10检测结果:PD-L1 1%;ARID1A基因7.20%,ERBB2基因CN=5.6,POLE基因4.61%,TP53基因5.81%。
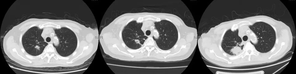
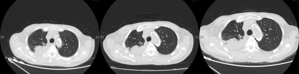
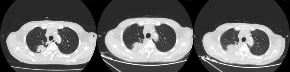
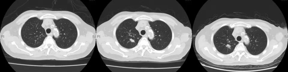
CT变化:
诊断:
1、膀胱恶性肿瘤(浸润性乳头状尿路上皮癌,高级别,pT4GN1M1,肺转移)
2、II型糖尿病,糖尿病肾病,慢性肾功能不全
3、冠心病
病例讨论
晚期不能手术切除或转移性膀胱癌的治疗以化放疗为主,膀胱癌对化疗相对敏感,有效率达40%-50%,临床完全缓解率为20%-30%。但该病患前期已行放化疗。短期内局部复发,且高龄、基础疾病严重、并发症明显,目前临床上有效治疗手段较少。
靶向治疗具有精准、高效、副作用相对较少的优点。二代基因测序的广泛开展,为临床多程复发、难治的晚期肿瘤患者,寻找靶向治疗手段提供了可能的基础。且该病患家属从事医药相关行业,依从性高、经济条件许可、对靶向药物认识度高。
靶向治疗时代,精准治疗建立在精准检测基础之上。该病例外院未行基因检测,试用“吉非替尼”口服治疗无效。转诊本院后,经过2次NGS全基因检测,找到了相关致病基因,并根据检测结果,指导连续应用多种靶向药物,取得了较好的临床疗效,靶向治疗总PFS达到30个月,吡咯替尼PFS达到15个月。治疗期间患者出现的心梗、肌酐持续上升等主要与基础疾患相关,经相关临床处理,均得到了满意控制;未出现其他明显副反应;值得临床进一步研究。
作者简介
殷小健
华侨大学附属厦门长庚医院肿瘤内科主任、肿瘤委员会副主席、福建省抗癌协会肿瘤内科专业委员会委员、肿瘤免疫治疗专业委员会委员、鼻咽癌专业委员会第一界委员、福建省海峡医药卫生交流协会临床肿瘤学诊疗分会常务理事、福建省肿瘤防治联盟结直肠癌专业委员会常委、厦门市肿瘤化疗质控专家组成员、厦门市医师协会肿瘤学分会委员
注:吡咯替尼(艾瑞妮?)目前在我国上市适应症为晚期乳腺癌领域,本疑难病例旨在促进医学专业人员的学习交流。