当前位置:肿瘤瞭望>资讯>正文

病例丨常规治疗效果不佳的关节炎,可能是恶性肿瘤的信号

作者:肿瘤瞭望   日期:2021/7/19 11:18:31  浏览量:10897

肿瘤瞭望版权所有,谢绝任何形式转载,侵犯版权者必予法律追究。

副肿瘤综合征是远离原发肿瘤部位的器官或组织损伤引起的一系列体征和症状。

副肿瘤综合征是远离原发肿瘤部位的器官或组织损伤引起的一系列体征和症状。[1] 这些症状可能在诊断恶性肿瘤之前、同时或之后出现。[2] 有趣的是,恶性肿瘤与多种副肿瘤性风湿病有关,其症状可能发生于关节、筋膜、肌肉、血管或骨骼,通常表现类似于原发性风湿病,如脊柱关节炎(SpA)、类风湿性关节炎(RA)、系统性红斑狼疮(SLE)或血管炎。[2] 本文报告了两名患者,她们最初被诊断为风湿性疾病,但后来被发现是恶性肿瘤相关的副肿瘤性关节炎。


病例介绍

图片病例一
 
患者为65岁亚裔女性,已退休,曾吸烟20年,不喝酒,曾因L4/L5退行性椎间盘疾病接受脊柱手术。她有1个月的少关节炎病史,影响两个踝关节,并伴有约3小时清晨僵硬。体格检查时,双踝关节肿胀和压痛,无其他显著不适。她没有恶性肿瘤或炎性关节炎的家族史。实验室检测类风湿因子(RF)阴性,但抗核抗体(ANA)阳性,滴度为1:320(斑点状)。红细胞沉降率(ESR)为61毫米/小时。因此,她接受了脊柱关节病治疗,服用泼尼松龙10 mg每天一次和柳氮磺胺吡啶(SSZ)500 mg每天两次,但没有太大改善。因为SSZ剂量增加到每天1克后出现斑疹,SSZ停用。
 
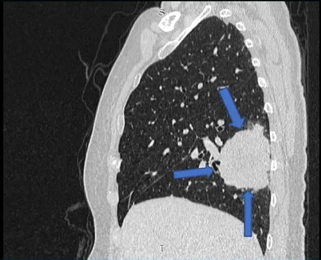
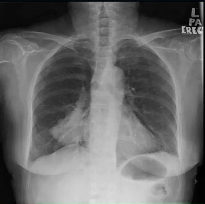
她第一次就诊时的常规胸片(图1)检查偶然发现了右肺肿块。随后的胸部增强计算机断层扫描(CT)(图2)显示肺右下叶后基底段的肺肿块大小为4.7×7.0×7.0 cm(前后×宽度×头尾)。肿块附近也有卫星结节。对肿瘤进行支气管镜活检,组织病理学检查(HPE)结果显示腺癌,证实为原发性肺恶性肿瘤,表皮生长因子受体(EGFR)基因的外显子19缺失。
 
因此,她接受了肿瘤学团队每天250 mg吉非替尼片剂治疗。使用吉非替尼治疗恶性肿瘤后,双脚踝肿胀消退,在接下来6个月内的后续随访中,风湿病没有复发。患者能够毫无困难和痛苦地走动,最终诊断被修改为继发于肺腺癌的副肿瘤性关节炎。患者出院后继续接受恶性肿瘤的随访。
 
图1. 胸部X线,右下肺叶有肿块
 
图2. 胸部计算机断层扫描显示右下叶肿块,周围有卫星结节(箭头)
 
图片病例二
 
患者是一名64岁亚裔女性,不吸烟,不饮酒,已知患有高血压、糖尿病、血脂异常和缺血性心脏病。她是一名退休人员,以前服用以下药物:二甲双胍500 mg每天一次、氨氯地平每天10 mg、阿替洛尔每天100 mg、硝酸异山梨酯10 mg每天三次、阿司匹林75 mg每天一次、辛伐他汀10 mg每天一次和培哚普利每天2 mg。她有4个月的不对称的多关节炎病史,累及右手腕、第二和第三掌指关节(MCPJ)以及第一至第五近侧指间关节(PIPJ),出现食欲减退和体重减轻。然而,她否认其他全身症状。她没有恶性肿瘤或结缔组织病家族史。检查显示右手腕、第二和第三个MCPJ以及第一到第五个PIPJ的关节肿胀和压痛。检查时没有其他显著的身体不适。除了ESR升高和抗核抗体阳性(滴度1:160)外,她的常规实验室检查并无异常。类风湿因子(RF)阴性,常规胸片无异常。手部X射线检查显示双手呈现关节炎的特征,可能是RA。随后患者按血清阴性RA接受治疗,开始服用SSZ 500 mg每天两次、泼尼松龙5 mg每天一次,但临床反应不佳。
 
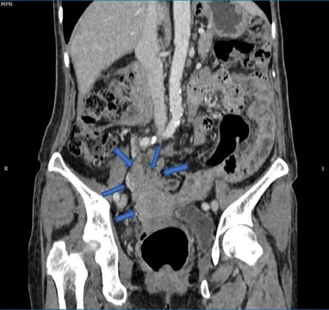
在关节炎出现六个月后,她因腹痛主诉到一家私人医院就诊,接受含网膜活检的小型开腹手术。网膜病理学检查发现II级卵巢浆液性囊腺癌的转移灶沉积。她被诊断为IIIc期卵巢癌,开始新辅助化疗,方案为卡铂(AUC=5,d1)+紫杉醇(80 mg/m2,d1,d8,d15),每21天一周期,共6个周期。SSZ停药。经过三个周期的化疗后,患者出现了新的呼吸道症状。胸部/腹部重复CT显示左侧肺尖后部肿块,双侧肺多发结节,子宫底区域有边界不清的低密度肿块(图3、4)。随后进行了硬质支气管镜检查,发现左上肺叶有一个带蒂肿瘤,几乎完全闭塞了远端左主支气管。肿瘤活检显示为具有肉瘤样特征的恶性肿瘤。
 
患者继续完成卡铂/紫杉醇治疗的六个周期,化疗后的CT重新评估显示疾病进展,因为CT上左肺肿块变得更大。随后,患者接受了二线化疗(静脉注射吉西他滨1400 mg,d1,d8),计划化疗三个周期,并重新评估治疗反应。因此,肿瘤学小组对她的最终诊断是双重恶性肿瘤(IIIc期卵巢浆液性囊腺癌和左肺肉瘤样癌)。
 
在肿瘤学团队的随访中,多关节炎没有复发,但患者对化疗的反应很差。患者有进行性呼吸道症状。诊断为多发性关节炎约1年后,患者因肺炎入院,并死于疾病。
 
图3. 冠状位计算机断层扫描图像显示:子宫肿块浸润邻近的肠道和大网膜(蓝色箭头)
 
图4. 矢状面计算机断层扫描显示:子宫底肿块与子宫下方的分界差(箭头)

讨论
 
在上述两名患者中,炎症性关节炎的症状早于恶性肿瘤诊断,对缓解病情抗风湿药物(DMARDs)治疗的临床反应不佳,后来被发现患有恶性肿瘤,关节炎在针对恶性肿瘤治疗后才消退。
 
副肿瘤性关节炎本身是一种炎症性多关节炎,可能呈血清阴性。[5] 男性中发病更多,平均发病年龄为54岁。[5]副肿瘤性关节炎通常是不对称的,通常影响下肢关节,可能在恶性肿瘤发生前8-12个月发生。[1,3-5] 通常对DMARD、皮质类固醇或非甾体类抗炎药 (NSAIDs)的标准治疗应答不佳。[1,3-5] 与副肿瘤性关节炎相关的恶性肿瘤包括肺、乳腺、卵巢、喉和胃肠道肿瘤。[2-4] 发病机制尚不清楚,但可影响细胞毒性淋巴细胞、抗体、肽、激素和细胞因子等介质。[4-6]
 
副肿瘤性关节炎难以诊断:根据Zupancic等人的文章,在没有已知恶性肿瘤的情况下,副肿瘤性关节炎可能难以诊断。[4] 以上两名患者都出现了炎症性关节炎的症状,随后被诊断为风湿性疾病并进行了治疗。第一个患者的恶性肿瘤是常规胸片检查后发现,第二位患者出现腹痛,需要手术干预,从而诊断出IIIc期卵巢癌。
 
DMARD治疗效果较差:两名患者的关节炎对DMARD的反应较差,患者接受恶性肿瘤治疗后,关节炎的症状改善,因此被诊断为副肿瘤性关节炎。Briones发表的文章介绍了一名患者,他患有多关节炎,对糖皮质激素治疗反应不佳,随后被诊断出舌癌,抗肿瘤治疗后,关节炎逐渐消退。[3] 同样,Zupancic介绍了一名患者出现迁移性炎症性的非对称多关节炎,该患者对泼尼松龙治疗反应不佳,随后被诊断出小细胞肺癌,随着恶性肿瘤的治疗,关节炎症状得到了解决。[4] 因此,对于对DMARD治疗反应不佳的患者,怀疑隐匿性恶性肿瘤是关节炎的病因很重要。

结论
 
总之,副肿瘤性关节炎是一种罕见的恶性肿瘤初始表现。在不知道患有恶性肿瘤的情况下,这种关节炎很容易与原发性风湿病混淆,因此导致原发性恶性肿瘤的诊断延迟。因此,对于表现不典型、出现全身症状或对标准DMARD治疗反应不佳的患者,考虑副肿瘤性关节炎的可能性很重要。
 
来源
J Med Case Reports. 2021;15(94)
Arthritis as an Initial Presentation of Malignancy - Medscape - Feb 23, 2021.
 
参考文献
1. Kanaji N, et al. Paraneoplastic syndromes associated with lung cancer. World J Clin Oncol. 2014;5(3):197–223.
2. Wen J, et al. Malignancy dominated with rheumatic manifestations: a retrospective single-center analysis. Sci Rep. 2018;8(1):1786.
3. Briones-Figueroa A, et al. Paraneoplastic polyarthritis as the first manifestation of lingual carcinoma. Eur J Rheumatol. 2019;6(1):55–6.
4. Zupancic M, et al. Migratory polyarthritis as a paraneoplastic syndrome. J Gen Intern Med. 2008;23(12):2136–9.
5. de Inês Rego F, et al. Rheumatologic diseases as paraneoplastic syndromes—a paradigmatic case. J Rheum Dis Treat. 2018;4(4):067.
6. Mok CC, Kwan YK. Rheumatoid-like polyarthritis as a presenting feature of metastatic carcinoma: a case presentation and review of the literature. Clin Rheumatol. 2003;22(4):353–4.

本内容仅供医学专业人士参考


关节炎

分享到: 更多