当前位置:肿瘤瞭望>资讯>正文

WCLC丨WHO胸部肿瘤新分类解读,第5版更新将于2021春季面世

作者:肿瘤瞭望   日期:2021/3/1 10:52:26  浏览量:14933

肿瘤瞭望版权所有,谢绝任何形式转载,侵犯版权者必予法律追究。

在2020年世界肺癌大会(WCLC)的PL01全体大会上,

在2020年世界肺癌大会(WCLC)的PL01全体大会上,加拿大多伦多玛格丽特公主癌症中心Ming S. Tsao概述了世界卫生组织(WHO)关于胸部肿瘤分类第五版的关键更新。
 
这本新书采用了许多新格式,并加入了新的作者和编辑。第5版新增部分,其中对于病理学家的临床实践特别有用的部分包括“诊断分子病理学”和“必要或可取的诊断标准”。
 
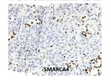
与2015年发布的上一个版本WHO分类相比,2020年的分类中新增的肿瘤类型很少,包括细支气管腺瘤、SMARCA-4-缺陷未分化肿瘤和原位间皮瘤;这些都是低发病率的肿瘤。Ming S. Tsao简要地描述了这些新增肿瘤实体的显著特征。
 
WHO分类:肺/胸膜肿瘤的新增部分
 
细支气管腺瘤(纤毛黏液结节性乳头状肿瘤)是一种良性肿瘤,典型的表现在细支气管上皮,两个上皮层存在细胞穿孔。有趣的是,这些肿瘤可能含有肺癌中发现的驱动基因突变。Ming S. Tsao:“根据两个上皮层细胞穿孔的形态,区分细支气管腺瘤与贴壁样腺癌或原位腺癌是很重要的。”
 
胸部SMARCA-4-缺陷未分化肿瘤是一种高度恶性、未分化的肺肿瘤,有或没有胸壁侵犯。这种类型的肺癌的特点是SMARCA-4表达缺失,可以通过免疫组化(IHC)检测到。SMARCA-4基因参与染色质重塑,其表达缺失主要是突变所致。
 
 
原位间皮瘤是一种侵袭前病变,表现为肿瘤间皮细胞的单层表面增生。这种肿瘤可发生于有严重石棉暴露史、既往放疗史或有间皮瘤家族史的患者中。只有通过免疫组化显示BAP1和/或MTAP表达缺失和/或通过荧光原位杂交(FISH)显示CDKN2A纯合缺失,才能诊断原位间皮瘤病变。重要的是,原位间皮瘤很有可能发展为侵袭性上皮样间皮瘤,侵袭性上皮样间皮瘤是一种恶性间皮瘤。
 
Ming S. Tsao还介绍和强调了WHO胸部肿瘤新分类书中一些重要更新。
 
基于主要组织学分型模型对浸润性非黏液性腺癌的亚型分型,这是目前肺腺癌分类和诊断的标准。这些亚型分类具有预测预后的意义:附壁生长为主型肺腺癌的肿瘤预后较好,乳头状或腺泡为主的肿瘤预后中等,微乳头状/实性肿瘤预后较差;后者可以预测辅助化疗的生存数据。然而,还有一些其他肿瘤特征传统上与肺腺癌患者的预后相关,包括核分级和细胞学分级 、有丝分裂、坏死,以及最近发现的特征“气腔播散(STAS)”。
 
IASLC病理学委员会开展了一项研究,旨在建立侵袭性肺腺癌的分级系统。[1]该研究基于主要类型和高级别肺腺癌(based on predominant & high-grade patterns)设定肺腺癌分级系统:1级,附壁生长为主型肺腺癌;2级,腺泡或乳头状为主肿瘤,高级别模式低于20%;3级,具有≥20%任何高级别病变的肿瘤。训练队列中发现:主要模式上存在20%或更多的次高级模式(微乳头状、实性和复杂腺体),可以增加患者复发或死亡的风险,这一发现在2个额外的患者队列中被独立验证。
 
基于这些发现,侵袭性非黏液性肺腺癌的IASLC分级体系被提出,并被纳入第5版的WHO胸部肿瘤分类书。与单纯基于组织学模式的患者预后预测相比,这种新的IASLC分级系统似乎改善了非粘液腺癌早期患者的预后分层。此外,IASLC分级系统有助于增加可能从辅助化疗中获益的患者(G3肿瘤)的百分比,尽管这还需要额外的支持数据。
 
在2021年世界卫生组织肺肿瘤分类书的间皮瘤一章,针对间皮瘤进行了更详细的描述,包括间皮瘤的各种组织学类型、细胞学特征和新的分级系统;其中一些更新具有预测意义。本章还就间皮瘤活检或切除标本的病理报告应包括哪些内容提供了建议。
 
第5版世界卫生组织胸部肿瘤分类将于2021年春季面世。这本新书将通过在线订阅提供。
 
参考文献
 
1.Moreira AL. Ocampo PSS, Xia Y, et al. A Grading System for Invasive Pulmonary Adenocarcinoma: A Proposal From the International Association for the Study of Lung Cancer Pathology Committee. J Thorac Oncol. 2020;15(10):1599-1610.

本内容仅供医学专业人士参考


WCLC

分享到: 更多