当前位置:肿瘤瞭望>资讯>快讯>正文

AI助力,张树栋教授解析机器人时代肾癌合并下腔静脉瘤栓的外科策略演变

作者:肿瘤瞭望   日期:2024/1/16 11:22:20  浏览量:10567

肿瘤瞭望版权所有,谢绝任何形式转载,侵犯版权者必予法律追究。

手术切除对于大多数肾癌合并下腔静脉瘤栓患者是有效的治疗方式,随着科技进步,患者对高精度、低损伤、舒适化的医疗服务需求不断提高,外科手术也经历了由传统开放式手术到胸腹腔镜手术再到如今手术机器人辅助手术的变革。北京大学第三医院张树栋教授针对机器人时代肾癌合并下腔静脉瘤栓的外科策略演变进行了详细的讲解,本文整理如下,以飨读者。

编者按:手术切除对于大多数肾癌合并下腔静脉瘤栓患者是有效的治疗方式,随着科技进步,患者对高精度、低损伤、舒适化的医疗服务需求不断提高,外科手术也经历了由传统开放式手术到胸腹腔镜手术再到如今手术机器人辅助手术的变革。北京大学第三医院张树栋教授针对机器人时代肾癌合并下腔静脉瘤栓的外科策略演变进行了详细的讲解,本文整理如下,以飨读者。

扫描上方二维码观看视频:机器人时代肾癌合并下腔静脉癌栓的外科策略演变-张树栋教授
 
手术切除是肾癌合并下腔静脉瘤栓患者的有效治疗方式
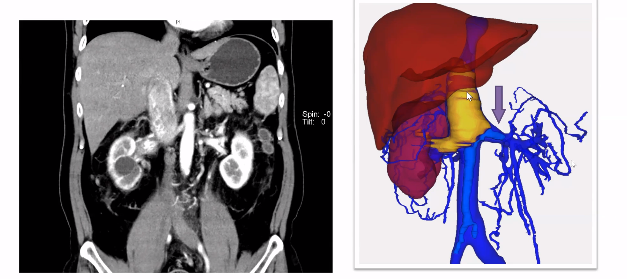
GLOBOCAN 2020数据显示,全球每年癌症新发病例1929万,中国占23.7%。其中,肾癌全球发病43.1万,死亡17.9万,中国发病 7.3万,占全球1/6,死亡4.3万。局部进展期肾癌中4%~10%合并下腔静脉瘤栓。未经治疗的肾癌合并下腔静脉瘤栓患者自然病程短,预后差,中位生存时间约5个月,1年肿瘤特异性生存率约29%。对局部进展期肾癌患者行根治性肾切除及下腔静脉瘤栓取出术能有效改善预后,5年肿瘤特异性生存率为40%~65%。因手术难度较大,早期多以开放手术为主。手术切除对于大多数患者来说是有效的治疗方式。
 
机器人时代肾癌合并下腔静脉瘤栓的外科策略7大演变
随着科技进步,患者对高精度、低损伤、舒适化的医疗服务需求不断提高,外科手术经历了由传统开放式手术到胸腹腔镜手术再到如今手术机器人辅助手术的变革。当前随着机器人时代的全面到来,肾癌合并下腔静脉瘤栓的外科策略发生了很多演变,具体而言主要有以下7个方面:
 
下腔静脉不一定都要阻断
对于腔静脉各端及分支的充分游离和暴露是顺利取栓的重要条件,而各支血管的完全阻断更为关键。但是,下腔静脉一定要阻断吗?既往积累经验告诉我们瘤栓上方下腔静脉完全不用阻断。如下图所示,病例患者具有肾静脉和肾上腺中央静脉双瘤栓,在手术中取肾上腺中央静脉的瘤栓时,其上方腔静脉并没有阻断,而是通过剪开腔静脉直接将瘤栓取出。取栓之后,再把静脉壁切掉,可以获得足够空间后再重新进行阻断,有利于完成后续缝合等多个操作。(备注:视频中有动态手术操作过程)
 
从开放翻肝到DOPI转变
在传统的瘤栓手术中,右侧肾癌合并Mayo II-III级下腔静脉瘤栓往往需要充分离断肝脏韧带并将肝脏“翻起”以扩展手术空间,依次阻断下腔静脉远心端、左肾静脉及下腔静脉近心端后进行瘤栓切除手术。对于III级瘤栓,还需要阻断第一肝门血管并阻断肝上下腔静脉。操作不仅耗时长,而且难度打,需要很多操作技巧。
下腔静脉近心端不阻断技术则是在不“翻”肝,仅离断右肝三角韧带,不阻断下腔静脉近心端,依靠术中升高气腹压力(12mmHg至20mmHg)阻止近心端血液流出的方式下进行瘤栓切除手术。对于III级瘤栓,该技术可实现在不阻断第一肝门血管的条件下切除瘤栓,降低肝脏缺血再灌注损伤风险。
 
从先处理肾动脉到先离断IVC+切开取栓
既往手术切除肾脏我们通常都会先处理肾动脉,但事实上有相当一部分患者可以先切断下腔静脉,再处理肾动脉,这样的病例在临床中也比较常见。如下图所示,当患者瘤栓充满血栓后,没有很好的空间去寻找肾动脉,此时我们可以先离断下腔静脉,这样就有足够的空间,再去取瘤栓和切断肾动脉就会变得简单便捷。当前这种模式本科室也已成为一种常规的术式,通过这种方式可以简化手术步骤,同时也可以很好地处理掉肾动脉。
术中及时策略的改变
近日,在北京大学第三医院第20届泌尿外科微创技术研讨会上展示了一例复杂病例。该病例瘤栓非常坚固,与整个下腔静脉严重粘连,手术团队采取的策略是先离断下腔静脉,但离断以后发现断点部位瘤栓紧贴静脉壁,所以术中及时做了策略调整,采用先把左侧肾静脉与腔静脉汇合的地方进行缝合,之后重新打开腔静脉,取出瘤栓。
下腔静脉节段性切除术-完全腔镜封闭式En-block技术
既往在开放手术中很少做下腔静脉节段性切除,但随着经验不断增加,我们发现其实在腔镜下,腔静脉的节段性切除更加方便,在下腔静脉远心端进行对侧静脉切除完全可以在直视下完成,大大降低了手术难度,所以我们把原来的开放术式变成了完全腔镜En-block切除。
如下图所示,该病例瘤栓充满整个下腔静脉,同时长满血栓,对于该病例我们采用全封闭式的En-block切除,首先是离断下腔静脉,翻起来以后去找寻右肾动脉,切断右肾动脉以后再把左肾静脉切断,然后一直沿着瘤栓向肝后寻找游离肝门后方腔静脉。既往类似病例中肝门后方腔静脉很难暴露清楚,但是有了机器人助力,使其充分显露出来就变的相对容易很多。肝后下腔静脉经过充分游离后,再将瘤栓全部挤压进入腔静脉中,然后探查至无瘤栓处,直线切断腔静脉,将瘤栓取出。完全封闭式的瘤栓取出,可以获得很好的操作空间。该病例曾在2023年4月在第8届泌尿生殖系统研讨会上进行演示。
左侧瘤栓-单一体位
既往左侧II级瘤栓很难从单一体位完成,但随着技术水平的提高,该操作已完全可行。当术中没有空间使用阻断钳,可以用两个哈巴狗代替进行阻断,其中一个夹住腔静脉的边缘,另外一个作为补充垂直夹住远端腔静脉,从而将整个下腔静脉进行阻断,通过提拽,即使是II级瘤栓也可以比较容易地取出,这项操作在目前腔镜机器人时代可以完整完成。
左侧II级瘤栓-Thrombus First
对于情况相对复杂的左侧II级瘤栓,如长度超过 5 厘米,就可以先通过左侧卧切断左肾动脉,之后直视下取栓,取完的栓子用纸套保护起来,再翻身把左肾切掉,因为动脉已经事先处理完成,所以粘连并不严重,有足够的空间去分离,这大大提高了手术的便利性。目前这种创新术式,国内尚未有相关报道。
当前,在AI助力下,2014年4月北医三院开创PUTH特色技术-肾癌合并静脉瘤栓手术技术,已成为北医三院的一大特色。该技术自开创至2023年11月,北医三院共完成577例瘤栓手术,发表相关论著100余篇。同时,也参与了多个指南共识的编写,获得了诸多科技奖励。此外,北医三院自2020年8月安装达芬奇机器人以来,已完成了超3000 例达芬奇手术,目前全院 49.9% 的达芬奇手术均在泌尿外科完成,手术总数也已超过1500例。另外,机器人时代也改变了患者的整体生存情况。既往文献报道瘤栓围手术期并发症发生率为78%,死亡率为8.3%。在2015-2028年北医三院共有Ⅲ、Ⅳ级瘤栓患者37例,其中2例患者围手术期死亡,死亡率为5.9%。但自2022年以后,通过技术改进等诸多方式,目前Ⅳ级瘤栓死亡率为0。
 
影响手术成功与否的3个关键因素
尽管机器人时代手术策略发生了很大转变,但开放手术仍然是最经典手术,永不过时。当然,无论采用何种手术方式,以下3大关键因素都与手术成功与否有着密切的联系:(1)充分的术前准备。每一例复杂肾癌合并瘤栓的患者,均应在术前召开MDT小组讨论,共同研究制定出最佳手术方案,并针对术中可能出现的问题提前做好预案。(2)良好的外科基本功。比如肾移植、胰肾联合移植等技术能力。(3)充足的手术数量。因为手术数量越多,经验越丰富,内心越强大,这样才能从容不迫的应对术中突发状况。
最后,我们应该认识到,瘤栓属于局部高危肿瘤,有复发转移的风险,即使外科手术非常完美,也仍不可避免会有瑕疵出现,当然这也是外科医生不断探寻更优策略的动力,我们要时刻保持医者初心,笃行不怠,为肾癌合并下降静脉瘤栓的患者提供更好的治疗。
张树栋 教授
北京大学第三医院泌尿外科主任、党支部副书记
主任医师,教授,博士生导师,博士后合作导师
维也纳医科大学博士后、香港大学玛丽医院Clinical Fellow
Mayo Clinic、Cleveland Clinic、John Hopkins、MD Anderson癌症中心、 UCSF、USC、
德国Martini-Klinik、英国Guy’s、Royal Marsden等多家医院访问学者。
中华医学会泌尿外科学分会(CUA)微创学组委员、青委会肿瘤学组副组长
中国抗癌协会泌尿男生殖系肿瘤专业委员会(CACA-GU)常务委员
北京医学会泌尿外科学分会常务委员
北京整合医学学会泌尿外科分会会长
《中华泌尿外科杂志》、《BJUI中文版》等多种国内及国际期刊编委
主持国家自然科学基金、北京市自然科学基金、卫健委、校院级重点项目等课题20余项。
第一或通讯作者在Adv Mater、Clin Transl Med、Cell Biosci等杂志发表论著80余篇(单篇最高IF:32.086)
执笔与参编CUA、CSCO、CACA指南及共识10余部,主编及参与编译专著10余部。
获首届华夏青年医学科技奖、首届中青年肿瘤防治菁英、北医三院优秀人才奖、世界华人泌尿学会“Rising Star Award” 、北京大学医学部青年岗位能手、中国名医百强榜前列腺肿瘤Top10、 CACA-GU 中国泌尿肿瘤微创手术特殊贡献奖、国家卫健委医学科技创新大赛三等奖、医院创新转化大赛二等奖、首都前沿学术成果等。
获北京医学科技二等奖、中华医学科技三等奖、教育部高校优秀科研成果二等奖等科技成果奖6项。
擅长机器人辅助腹腔镜疑难复杂肿瘤手术,在CUA全国年会、微创年会及各省市学术年会中多次受邀手术演示。

 

本内容仅供医学专业人士参考


张树栋教授,机器人时代肾癌合并下腔静脉瘤栓,

分享到: 更多