当前位置:肿瘤瞭望>资讯>正文

克晓燕/胡凯教授团队:CAR-T联合ASCT可提高中枢神经系统累及的复发/难治DLBCL患者疗效,显著延长生存

作者:肿瘤瞭望   日期:2022/10/25 10:35:40  浏览量:11990

肿瘤瞭望版权所有,谢绝任何形式转载,侵犯版权者必予法律追究。

累及中枢神经系统的复发/难治弥漫大B细胞淋巴瘤(R/R DLBCL)的治疗一直是淋巴瘤科医生的难点和痛点。

导语:累及中枢神经系统的复发/难治弥漫大B细胞淋巴瘤(R/R DLBCL)的治疗一直是淋巴瘤科医生的难点和痛点。嵌合抗原受体T细胞(CAR-T)已经成为治疗R/R DLBCL的一种极具前景的治疗方案,但鉴于CAR-T治疗潜在的中枢神经系统副反应,累及中枢神经系统的患者行CAR-T治疗的数据较少。
 
为进一步探索CAR-T治疗在真实世界中的潜力与挑战,及其在累及中枢神经系统R/R DLBCL的的疗效和安全性,北京博仁医院克晓燕/胡凯教授团队在Journal of Oncology杂志发表了一篇题为“The autologous hematopoietic stem cells transplantation combination-based chimeric antigen receptor T-cell therapy improve outcomes of relapse/refractory central nervous system B-cell lymphoma”的论文,为CAR-T在治疗累及中枢神经系统R/R DLBCL的领域为专家学者提供了新的思路(文章第一作者:薛飞医生)。
 
胡凯教授谈到:累及中枢神经系统侵犯的R/R DLBCL治疗很棘手,如果有机会达到缓解,行自体造血干细胞移植可以获益;但真实世界中部分患者无法通过化疗取得疗效,而CAR-T的中枢神经系统反应限制了CAR-T在此类患者中的应用。为此,我们团队将无法化疗获益的此类患者应用CAR-T治疗,总结分析了本中心17例累及中枢神经系统侵犯的R/R DLBCL患者,其中2例为原发中枢神经系统大B细胞淋巴瘤,其他为继发中枢累及(其中有高级别双打击B细胞淋巴瘤3例);部分患者采用了将CAR-T治疗与自体造血干细胞移植(ASCT)联合的治疗方式,取得了不错的疗效。
 
亮点1:CAR-T治疗累及中枢神经系统侵犯的R/R DLBCL安全性可控
 
随着CAR-T治疗经验的积累,我们发现这部分患者在CAR-T治疗后发生3级或更高级别免疫效应细胞相关神经毒性(ICANS)和细胞因子释放综合征(CRS)事件发生率分别为29%和41%,但在做好良好预防的情况下,无一例发生治疗相关死亡。安全性是可控的。
 
亮点2:自体移植联合CAR-T治疗疗效更高,生存期明显延长
 
研究结果进一步体现了ASCT和CAR-T两项技术强强联合在这部分患者中取得的惊艳疗效:17例患者中,其中8例完成了ASCT联合CAR-T细胞治疗;3个月时总的客观缓解率(ORR)为12/17(71%),完全缓解率(CRR)为11/17(65%)。联合ASCT组和未联合ASCT组的CRR分别为100%和44.4%(P<0.01)。中位无进展生存期(PFS)为16.3(2.6~24.5)个月,中位总生存期(OS)为19.3(6-24.5)个月,ASCT联合CAR T治疗的患者PFS(P=0.0015)和OS(P=0.0052)显著延长。
 
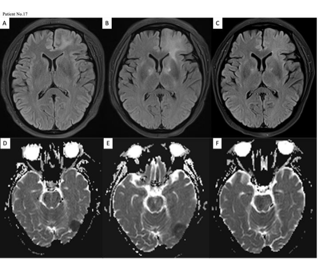
图1展示的是一例患者治疗前后的中枢影像学对比。
 
图1.MRI磁共振成像显示患者的图像
A是在CAR-T细胞输注前;B在CAR-T细胞回输+30天;C在CAR-T回输后+3个月,病灶已完全消失。
 
未来,路在前方。。。。
 
克晓燕教授指出,北京博仁医院成人淋巴瘤科近年来积累了丰富的CAR-T治疗经验,随着真实世界中CAR-T治疗的病例逐步增多,面临的临床问题更加复杂。真实世界的应用经验提示,针对病变累及中枢神经系统的R/R DLBCL患者,在做好充分预防的情况下,CAR-T治疗是安全可控的,最重要的是能够使部分无法从化疗中获益的患者达到缓解,有机会的患者还可进一步通过ASCT联合CAR-T治疗的方式获得生存获益。
 
当然,选择合适的CAR-T治疗时机,探索个性化、精细化、全程化的管理,仍然是血液肿瘤领域未来主要的临床任务。未来我们可以结合临床、病理、分子、影像等整合诊断技术来帮助我们更早了解哪些对常规治疗无效的R/R DLBCL患者可从精准化CAR-T治疗中获益,从而延长患者生存。相信随着国内CAR-T治疗的蓬勃发展,精准化CAR-T治疗将惠及更多的血液肿瘤患者,挽救更多的生命和家庭。
 
 
克晓燕教授
 
北京大学第三医院血液科主任医师,二级教授,博导
 
北京大学医学部血液学系副主任
 
北京博仁医院成人淋巴瘤科首席顾问
 
中国女医师协会常务理事
 
中国女医师协会靶向治疗委员会主任委员
 
中国女医师协会血液学会名誉主任委员
 
中国老年协会血液肿瘤委员会副主委员
 
中国医药教育协会血液学专业委员会副主任委员
 
中国抗癌协会淋巴瘤专委会常委
 
北京建促会血液肿瘤精准诊疗专家委员会名誉主委
 
中华医学会北京分会肿瘤专业委员会委员
 
中华医学会血液学会淋巴瘤学组委员
 
中国实验血液学会等多个协会委员
 
《白血病淋巴瘤杂志》副主编,多家杂志编委
 
卫生部、北京市医疗技术鉴定咨询专家;
 
中央保健会诊专家
 
 
胡凯教授
 
主任医师,医学博士,北京高博博仁医院成人淋巴瘤/骨髓瘤科主任
 
研究方向:淋巴造血系统肿瘤整合诊断、规范化治疗、分子靶向治疗及免疫治疗、造血干细胞移植。在复发难治性淋巴瘤、骨髓瘤诊治有丰富经验,完成R/R淋巴瘤及骨髓瘤CAR-T细胞治疗500余例。
 
学术任职:
 
中国老年学学会老年肿瘤专业委员会委员;
 
中国抗癌协会血液肿瘤专业委员会第一届中国T细胞淋巴瘤工作组委员;
 
中国健康管理协会健康科普专业委员会委员;
 
中国医药教育协会造血干细胞移植及细胞治疗专业委员会委员;
 
北京建促会血液肿瘤精准诊疗专家委员会主任委员;
 
北京医学会市级“枢纽型”社会组织专家委员;
 
北京围手术期医学研究会血液专业委员会委员;
 
北京肿瘤协会临床研究专业委员会委员;
 
北京市医学会血液委员会青年委员
 
参与20余项国际、国内多中心临床研究;第一作者及通信作者发表中英文论文30余篇;参编参译著作5本;多次在国内外学术会议(美国血液学年会、欧洲血液学年会)汇报团队研究成果。
 
 
薛飞
 
医学硕士,北京高博博仁医院成人淋巴瘤/骨髓瘤科住院医师
 
中级职称,中国医学科学院-北京协和医学院血液学研究所内科学硕士研究生,从事成人淋巴瘤的靶向治疗、免疫治疗包括CART细胞治疗,及血液病的造血干细胞移植工作。

本内容仅供医学专业人士参考


淋巴瘤

分享到: 更多