患者基本信息
孙某,男,53岁因“胃癌术后化疗后半年余”于2019年8月于我院就诊,既往无特殊病史。
查体:KPS评分90分,全身皮肤巩膜无黄染,双侧颈部未触及肿大淋巴结,心肺听诊正常,腹软,腹正中可见一长约20cm手术瘢痕,无压痛及反跳痛,肝脾肋下未触及,双下肢不肿。
实验室检查:血常规,肝肾功能,肿瘤标记物均正常;复查胃镜正常;影像学检查后述。
诊疗经过
患者2017年6月26日于深圳市人民医院行胃癌根治术。
术后病检:1.(远端胃)腺癌,癌组织侵及全层达浆膜下,可见脉管侵犯;双手术切缘未见癌。网膜未见癌组织。2.(第1组、2组、3组、4组、5组、6组、7-9组、13组)淋巴结见癌转移(6/8、7/7、11/12、18/18、6/6、5/5、3/3、1/1);IHC:c-ErbB-2(3+)。
术后分期:pT3N3bM0,Ⅲc期(AJCC 8th)
患者术后于蕲春县人民医院行10周期FOLFOX6方案化疗。
2018年8月10日复查胸部CT发现双肺多发小结节,遂定期观察随访。

2018年10月复查双肺结节较前增大。

同时发现左颈部和肝脏多发转移灶。


加做免疫组化:pMMR MLH1(+), MSH2(+), MSH6(+), PMS(+)。
诊断:胃癌术后多发转移(双肺,肝脏,锁骨上淋巴结),Ⅳ期,HER2(+++)。
治疗策略:赫赛汀联合姑息性全身化疗
2018年10月23日至2019年2月3日行顺铂+氟尿嘧啶联合赫赛汀方案治疗5周期,疗效评估PR。

2019年1月24日,经4个周期赫赛汀+DF后,患者肝脏转移灶明显缩小。

2018年10月17日,化疗前

2019年1月24日,化疗后
患者化疗后出现3度胃肠道反应,3度骨髓抑制。第5周期化疗后出现感染性休克,遂停止联合化疗。
2019年2月开始赫赛汀+希罗达维持治疗,患者耐受好。
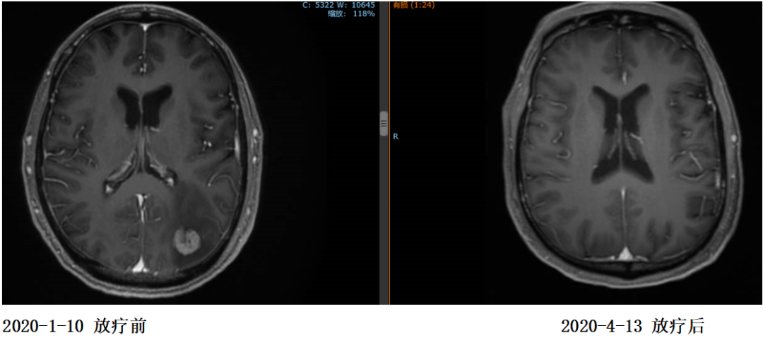
2020年1月患者出现头痛症状,复查脑MR示:枕叶及右侧小脑半球多发结节,结合病史考虑转移灶。
经影像学评估后,患者肝脏、双肺、颈部淋巴结无进展。

2020年1月13日开始对左侧枕叶及右侧小脑转移灶进行放疗,PTV-GTV=44.5Gy/9F
患者继续行赫赛汀+希罗达维持治疗方案。但因新冠肺炎疫情,2020.1~2020.4赫赛汀治疗中断。
复查:2020.4复查颈部CT及全腹部+盆腔MR大致同前,脑MR示病变较前明显缩小,评估PR。
2020年4月15日开始继续行赫赛汀+希罗达维持治疗。


最近随访:
2020年11月4日复查颈部胸腹盆CT大致同前,脑转移灶明显缩小,继续赫赛汀联合希罗达维持治疗。

专家点评
这是一例HER2阳性晚期胃腺癌一线应用赫赛汀靶向治疗联合化疗获得较好疗效的成功案例。该患者曾于2017年6月行胃癌根治术,术后予10周期FOLFOX6方案辅助化疗。2018年10月影像学检查并确诊全身多发转移(HER2过表达型,pMMR),并开始予顺铂+氟尿嘧啶联合赫赛汀方案治疗5周期,疗效评估达到PR。2019年2月开始予赫赛汀+希罗达维持治疗。2020年1月确诊枕叶及右侧小脑半球多发转移(肝脏、双肺、颈部淋巴结无进展)。遂开始行左侧枕叶及右侧小脑转移灶放疗。因新冠疫情影响,2020年1月~4月间的赫赛汀治疗中断。2020年4月15日复查示脑转移灶较前明显缩小,继续赫赛汀+希罗达维持治疗。该患者一线治疗PFS达15个月左右。
HER2阳性胃癌是一类独特的疾病亚型,HER2阳性晚期胃癌患者可从赫赛汀治疗中获益。晚期胃癌的疗效、预后均差,联合化疗可以改善生存,但相当有限。联合化疗可以达到半年左右中位PFS及约1年的中位OS。有关HER2阳性晚期胃腺癌患者的一线治疗,国际多个权威指南(包括NCCN指南、CSCO指南等)均推荐赫赛汀联合顺铂+5FU/卡培他滨的联合治疗。
ToGA研究中我们可以看到,赫赛汀联合氟尿嘧啶/卡培他滨+顺铂化疗一线治疗HER2过表达的晚期转移性胃腺癌,较单纯化疗提高了有效率及总生存获益(16.0 vs 11.8个月,P=0.0046)。针对HER2为靶点的药物还包括帕妥珠单抗、拉帕替尼、TDM-1等,但仍没有在Ⅲ期临床研究探索中取得阳性结果。JACOB研究论证了双单抗联合靶向治疗的价值,对比曲妥珠单抗+标准化疗一线治疗,双单抗联合治疗并未能显著延长OS。该案例采用顺铂+氟尿嘧啶联合赫赛汀方案进行治疗5个周期,之后予赫赛汀+希罗达维持治疗,获得了较好的生存结果,PFS达到15个月。出现脑转移后结合局部治疗,也获得了很好的效果。赫赛汀的抗HER2治疗是否能跨线治疗,其价值目前仍存在争议。
通过该案例,进一步印证了HER2阳性晚期胃癌患者一线采用赫赛汀靶向治疗联合化疗提高疗效、显著改善生存的结果,联合治疗可让更多的患者受益。
武汉大学中南医院胃肠肿瘤放化疗科副主任医师
武汉大学/哈佛医学院联合培养肿瘤学博士
湖北省药物与医疗器械评价学会理事
湖北省药物与医疗器械评价学会肿瘤诊疗临床评价专委会秘书
湖北省免疫学会肿瘤精准治疗专委会常委
主要从事消化系统恶性肿瘤放化疗
汕头大学医学院附属肿瘤医院大内科副主任
消化肿瘤内科主任,主任医师,博士后合作导师
广东省抗癌协会肿瘤靶向治疗专业委员会第二届委员会常务委员
广东省中医药学会肿瘤精准与整合治疗专业委员会第一届委员会副主任委员
广州抗癌协会第二届大肠癌专业委员会常务委员
广州抗癌协会第二届分子靶向治疗专业委员会常务委员
汕头市医学会第五届消化内科专业委员会常务委员
?