当前位置:肿瘤瞭望>资讯>研究>正文

百家泌闻丨夯实基础 筑牢底线!一例高瘤负荷mHSPC患者的诊治经过

作者:肿瘤瞭望   日期:2024/11/7 11:14:38  浏览量:5388

肿瘤瞭望版权所有,谢绝任何形式转载,侵犯版权者必予法律追究。

本期“百家泌闻”中山东第一医科大学附属省立医院丁森泰教授分享了一例初治的转移性激素敏感性前列腺癌(mHSPC)的诊治经过。

编者按:随着新一代雄激素受体(AR)抑制剂、PARP抑制剂、免疫检查点抑制剂以及PSMA核素治疗等新型药物的涌现,前列腺癌已经进入综合治疗百花齐放的“春天”。然而,这些综合治疗仍离不开雄激素剥夺治疗(ADT)作为基础,如何为患者选择去势效果更可靠、不良反应更小、操作更为便捷的ADT方案,是患者取得连续、平稳ADT治疗的重要前提。本期“百家泌闻”中山东第一医科大学附属省立医院丁森泰教授分享了一例初治的转移性激素敏感性前列腺癌(mHSPC)的诊治经过。
 
病例介绍

▌基本信息
 
患者男,60岁,主因“腰背部疼痛十余天”就诊于当地医院。
 
患者十余天前无诱因、无外伤情况下发生腰背部疼痛,为持续钝痛,不伴恶心呕吐、头痛头晕,无咳嗽、咳痰、发热,无胸痛,二便正常,平素酒后偶有排尿费力,无尿频、尿急、尿痛,无血尿。当地医院查TPSA为289.00ng/ml。前列腺MR考虑为前列腺癌(PI-RADS 5级),膀胱后壁、双侧精囊腺浸润,双侧耻骨及第1骶骨转移瘤可能。胸部CT示双肺多发转移,纵隔淋巴结转移、腹膜后淋巴结转移可能,T9椎体转移可能。骨扫描示T9、L2、右耻骨转移。前列腺穿刺活检为前列腺癌,Gleason评分4+4=8,WHO/ISUP预后分组:4组。为求进一步诊治来我院。
 
既往有肾结石病史,未行ESWL或其他手术治疗,无糖尿病、冠心病、高血压等慢性病病史。无肿瘤家族史。

▌辅助检查
 
TPSA(2024-04-18):289.00ng/ml。
 
前列腺MR(图1,2024-04-18):1、考虑前列腺癌,PI-RADS 5,膀胱后壁、双侧精囊腺浸润;2、双侧耻骨及第1骶骨异常信号,转移瘤可能。
 
胸部CT(图2,2024-04-18):1.双肺多发结节灶、纵隔、腹膜后多发淋巴结肿大,考虑:肺内多发转移,纵隔淋巴结转移、腹膜后淋巴结转移可能;2.T9椎体骨质破坏,转移可能大。
 
骨扫描(2024-04-18):T9、L2、右耻骨见局限性异常放射性浓聚影,考虑转移性病变。
 
前列腺穿刺活检:GS:4+4=8分,WH0/ISUP预后分组:4组。
 
图1.前列腺MR(2024-04-18):前列腺体积不规则增大,约6.2cm(左右)x5.4cm(前后)x7.1cm(上下),中央带、外周带可见不规则片状短T2等T1信号灶,病灶向上突向膀胱,与膀胱后壁及精囊腺分界不清,DWI示病变呈弥散受限高信号,相应ADC信号减低。盆腔内见多个小淋巴结,较大者短径约为0.6cm。双侧耻骨及第1骶骨见稍长T1长T2信号,DWI弥散受限改变。直肠右侧壁局部增厚。诊断:1、考虑前列腺癌,PI-RADS 5,膀胱后壁、双侧精囊腺浸润;2、双侧耻骨及第1骶骨异常信号,转移瘤可能
 
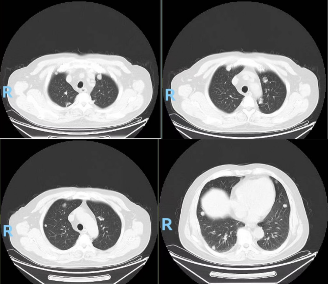
图2.胸部CT(2024-04-18):双肺可见多发结节状密度灶,较大者直径约2cm,右肺中叶外侧段支气管受压,欠通畅。纵隔3、4R、6、7、10R区可见多发肿大淋巴结。T9椎体可见骨质破坏,密度欠均。诊断:1.双肺多发结节灶、纵隔、腹膜后多发淋巴结肿大,考虑:肺内多发转移,纵隔淋巴结转移、腹膜后淋巴结转移可能;2.T9椎体骨质破坏,转移可能大
 
图3.骨扫描(2024-04-18):T9、L2、右耻骨局限性异常放射性浓聚影,考虑转移性病变
 
▌诊断
 
前列腺癌(T4N1M1c)
 
多发骨转移、肺转移、淋巴结转移
 
▌诊治经过
 
2024-04-29就诊于山东省立医院,考虑为转移性激素敏感性前列腺癌(mHSPC),且肿瘤转移负荷高,无手术治疗指征。因此,给予ADT(戈舍瑞林微球3.6mg ih)+瑞维鲁胺(240mg po qd)+地舒单抗(120mg ih)治疗。考虑到肿瘤负荷较高,拟给予强化治疗,基因检测未发现可用的靶向治疗,遂给予紫杉醇化疗(共6个周期)。治疗期间患者耐受性良好,未发生≥3级不良事件。
 
治疗后生物标志物监测结果如下,治疗2个月时PSA降至0.2ng/mL以下(0.185ng/mL),治疗2个月时睾酮降至<50ng/dL,治疗4个月后睾酮降至<20ng/dL(<0.7nmol/L),达到深度降酮。
 
表1/图4.治疗期间的血清PSA和睾酮变化
 
治疗5个月后复查影像学,前列腺MR显示前列腺体积缩小约4.7倍,与精囊及膀胱后壁的界限有所清晰改善;胸部CT显示双肺多发结节、索条、慢性炎症,较有所好转;骨转移仍主要在耻骨联合、T2、5、9椎体。
 
图5.复查前列腺MR(2024-09-19):前列腺大小约4.2cmx3.5cmX3.5cm,以中央腺体增大为主,T1WI呈等信号,T2WI呈等、高信号,其中中央腺体前下份局部呈结节状突向膀胱颈,与膀胱后壁分界欠清,DWI扩散受限呈高信号,ADC图呈低信号:双侧外周带可见条片状低信号DWI未见明显高信号。双侧精囊腺大小和形态尚可,压脂像示局部信号减低膀胱精囊角对称。诊断:1、符合前列腺肿瘤治疗后改变2、右耻骨下支异常信号,考虑转移
 
图6.复查胸部CT(2024-09-19):胸廓对称,肋骨走行连续;双肺可见散在小斑片状、小条片状及结节状密度增高影,边界清。双肺可见少量纤维条索影,边界清。双肺可见多发结节灶,较大位于左肺上叶前段(IM12),大小约12mmx6mm。诊断:1.双肺多发结节灶;双肺索条、慢性炎症,较有所好转;2.胸9椎体变扁并密度不均,转移瘤并病理性骨折
 
疗效评价:PSA完全缓解(PSA-CR),原发灶肿瘤完全缓解(PR)
 
图7.复查骨扫描(2024-09-19):右侧耻骨联合、T2、5、9椎体可见显像剂分布异常浓聚灶。考虑右侧耻骨联合、T2、5、9椎体符合骨转移表现
 
病例总结与讨论
 
这是一例初诊高肿瘤负荷的mHSPC患者存在多发肺转移、骨转移、淋巴结转移。目前,新型内分泌治疗(NHT)联合雄激素剥夺治疗(ADT)已经成为此类患者的标准疗法。基于CHART研究[1],该例高肿瘤负荷的mHSPC患者接受了戈舍瑞林微球+瑞维鲁胺内分泌治疗,以及地舒单抗骨保护治疗,以及紫杉醇化疗减少内脏转移负荷。经此方案治疗,5月后疗效评估满意,生化学疗效PSA达到完全缓解,原发灶肿瘤达到完全缓解。
 
该例患者目前随访时间较短,但预计有较好的无进展生存期(PFS)和总生存期(OS),因为越来越多的研究显示,深度降酮(DTR)以及快速控制PSA与更好的生存预后相关,《前列腺癌睾酮管理中国专家共识》等指南共识[2-3]也推荐睾酮水平20ng/dl可以作为判断前列腺癌治疗预后及生存获益的观察点。DTR和快速控制PSA的关键仍离不开强效的ADT作为基础治疗。本例患者接受戈舍瑞林,治疗2个月时PSA降至0.2ng/mL以下(0.185ng/mL),治疗2个月时睾酮降至<50ng/dL,治疗4个月后睾酮降至<20ng/dL,达到深度降酮。本例患者经戈舍瑞林治疗后短时间内即可达到PSA缓解和DTR,因此可以预测患者有较好的生存预后。
 
随着各类新型雄激素受体(AR)抑制剂、PARP抑制剂、PSMA核素治疗等新型治疗的发展进步,前列腺癌综合治疗呈百花齐放的态势,但ADT是前列腺癌综合治疗的基础。目前戈舍瑞林等促性腺激素释放激素激动剂(GnRHa)是临床最常使用的ADT方案,因其亲和力高、降低PSA和抑酮效果更显著、逃逸率更低。值得一提的是,在“以患者为中心”的理念推动下,戈舍瑞林等GnRHa的给药剂型也在不断改良中,新近作为我国2.2类改良型新药,首例使用“二代微球技术”而上市的戈舍瑞林微球,具有稳定、等效、安全和便捷等优势[4],可为前列腺癌患者提供更加持续耐受、稳定去势的治疗方案。期待这些新型药物能够在临床实践中发挥更大的作用,助力前列腺癌患者获得更好的生存、更优的生活质量。
 
参考文献
 
[1]Gu W,Han W,Luo H,et al.Rezvilutamide versus bicalutamide in combination with androgen-deprivation therapy in patients with high-volume,metastatic,hormone-sensitive prostate cancer(CHART):a randomised,open-label,phase 3 trial.Lancet Oncol.2022;23(10):1249-1260.doi:10.1016/S1470-2045(22)00507-1
 
[2]中华医学会泌尿外科学分会,中国抗癌协会泌尿男生殖系肿瘤专业委员会,中国医师协会泌尿外科医师分会.前列腺癌睾酮管理中国专家共识(2021版)[J].中华泌尿外科杂志,2021,42(4):241-245.DOI:10.3760/cma.j.cn112330-20210327-00158.
 
[3]中国前列腺癌研究协作组.前列腺癌药物去势治疗随访管理中国专家共识(2024版)[J].中华肿瘤杂志,2024,46(4):285-295.DOI:10.3760/cma.j.cn112152-20240206-00067.
 
[4]Gu C,Wang Z,Lin T,et al.Efficacy and safety of LY01005 versus goserelin implant in Chinese patients with prostate cancer:A multicenter,randomized,open-label,phase III,non-inferiority trial.Chin Med J(Engl).2023;136(10):1207-1215.doi:10.1097/CM9.0000000000002638
 
丁森泰教授
山东第一医科大学附属省立医院(山东省立医院)泌尿外科副主任医师、医学博士
日本京都大学联合培养博士;美国西南医学中心高级访问学者;济南市高层次人才;
山东大学山东第一医科大学副教授、硕士研究生导师;
“一带一路”吉尔吉斯斯坦奥什国立大学博士研究生导师
在泌尿系肿瘤的基础和临床治疗研究方面取得的研究成果在Journal of Urology、Cancer Research等SCI杂志发表文章二十余篇,发表中文核心期刊论著20余篇;
主持国家自然科学基金、山东省重点研发计划、山东省医药卫生科技发展计划和山东省自然科学、济南市科技发展计划等,参加国家及省市课题多项;
获得山东省药学会二等奖1项(第一位);山东省自然科学学术创新奖专家奖;山东省高等学校科学技术奖1项(第二位);医学会科技成果进步奖二等奖1项(第二位);
社会兼职:
山东省老年学与老年医学学会泌尿外科专业委员会副主任委员
中华医学会山东省泌尿外科学会青年副主任委员
中国医师协会男科医师分会全国委员
山东省医学伦理学学会泌尿肿瘤外科分会第一届理事会副会长
中国抗癌协会泌尿男生殖系肿瘤专业委员会全国青年委员
中国抗癌协会(CACA)第一届前列腺癌整合防筛专业委员会全国委员

 

本内容仅供医学专业人士参考


前列腺癌

分享到: 更多