当前位置:肿瘤瞭望>资讯>研究>正文

靶向领航,HER2阳性晚期乳腺癌一线治疗选择 | 一例汉曲优联合吡咯替尼治疗晚期一线HER2阳性乳腺癌伴脑肝骨转移的病例分享

作者:肿瘤瞭望   日期:2022/5/30 20:21:09  浏览量:16833

肿瘤瞭望版权所有,谢绝任何形式转载,侵犯版权者必予法律追究。

目前乳腺癌已成为女性最常见的恶性肿瘤,据GLOBOCAN 2020年全球癌症报告显示,2020年新发乳腺癌2261419例,其中HER2阳性乳腺癌约占15%~20%,与其他类型相比,HER2乳腺癌侵袭性较强、早期易复发转移、预后较差。在中国的乳腺癌患者中,每10名乳腺癌患者中就有2~3名为HER2阳性乳腺癌。曲妥珠单抗的出现改变了既往HER2阳性乳腺癌的治疗模式,明显改善了患者预后。汉曲优?作为国内首个上市的曲妥珠单抗生物类似药,在产品质量、药理学、药代动力学、药效动力学、毒理学、免疫原性、安全性和有效性等方面与原研曲妥珠单抗没有临床意义上的差异。本文通过一例肝、骨、脑转移的晚期HER2阳性乳腺癌一线使用汉曲优联合小分子TKI药物进行治疗的病例,探讨了首诊IV期HER2阳性伴有脑转移乳腺癌患者的一线治疗的优选模式。

▌病例作者:周鑫 锦州医科大学附属第一医院

 
▌点评专家:翟振华 锦州医科大学附属第一医院
 
编者按
 
●目前乳腺癌已成为女性最常见的恶性肿瘤,据GLOBOCAN 2020年全球癌症报告显示,2020年新发乳腺癌2261419例,其中HER2阳性乳腺癌约占15%~20%,与其他类型相比,HER2乳腺癌侵袭性较强、早期易复发转移、预后较差。在中国的乳腺癌患者中,每10名乳腺癌患者中就有2~3名为HER2阳性乳腺癌。曲妥珠单抗的出现改变了既往HER2阳性乳腺癌的治疗模式,明显改善了患者预后。汉曲优®作为国内首个上市的曲妥珠单抗生物类似药,在产品质量、药理学、药代动力学、药效动力学、毒理学、免疫原性、安全性和有效性等方面与原研曲妥珠单抗没有临床意义上的差异。本文通过一例肝、骨、脑转移的晚期HER2阳性乳腺癌一线使用汉曲优联合小分子TKI药物进行治疗的病例,探讨了首诊IV期HER2阳性伴有脑转移乳腺癌患者的一线治疗的优选模式。(注:本文中汉曲优为复宏汉霖研发生产的曲妥珠单抗)
 
病史简介
 
患者:王某,女,23岁,50kg
 
主诉:左乳腺癌脑、肝、骨转移8月余
 
婚育月经史:已婚,G2P2,月经正常,末次月经2019-08-05
 
既往史:无高血压、糖尿病等慢性病史
 
家族史:否认肿瘤家族史
 
首诊专科查体(2021-08):左乳上方及外象限可触及一大小约10.0×7.0cm肿物,质硬,表面凹凸不平,活动度差,边界不清,无触痛。右乳未触及肿物。双侧锁骨上淋巴结未及异常肿大,双腋下未触及肿大淋巴结。
 
▌影像学基线检查(2021-08至2021-09):
 
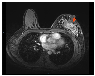
1.乳腺增强MRI:左侧乳腺多发肿块,形态不规则呈分叶状,边缘毛刺,内部呈不均匀混杂强化,病灶最大直径约7.2cm(靶病灶1)。(图1)
 
图1. 乳腺增强MRI
 
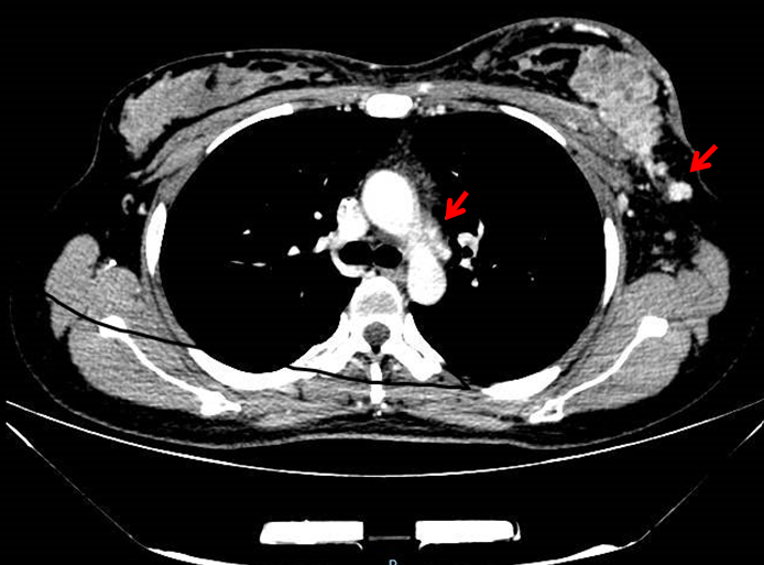
2.胸部增强CT:左乳腺体及胸壁内见多发结节影,部分相融,增强扫描可见明显强化;皮肤增厚并见强化结节;左侧腋下见多发肿大淋巴结显示,(最大者短径0.8cm非靶病灶),可见强化;左侧胸壁增厚,见强化。双侧胸廓对称,纵隔居中。双肺未见异常密度影,气管及主支气管通畅,双肺门不大,双侧胸膜未见明显增厚。纵隔内增大淋巴结显示(短径0.5cm,非靶病灶),可见强化。(图2)
 
图2 胸部增强CT
 
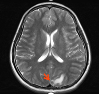
3.头增强MRI:左枕叶强化结节(长径1.3cm,靶病灶2),周围伴水肿,转移可能。(图3)
 
图3 头增强MRI
 
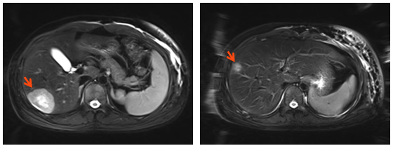
4.肝增强MRI:S6段 、S7段可见强化结节,小者长径为1.4cm(靶病灶3),大者为长径4.3cm(靶病灶4)。(图4)
 
图4 肝增强MRI
 
5.全身骨显像:颅骨、颈椎、胸椎、腰椎、骨盆、双侧股骨见多个点片状核素浓聚区,考虑多发骨转移(非靶病灶)。(图5)
 
图5 全身骨显像
 
6.颈部及锁骨上淋巴结彩超:左锁骨上淋巴结肿大。(最大者1.2x0.7cm,非靶病灶)。
 
▌穿刺病理结果:
 
乳腺原发病灶:浸润性癌,II级。免疫组化:ER(-)、 PR(-)、Ki67(+,70%)、Her-2(2+);FISH检测示HER2信号呈簇状,HER2基因扩增。(图6)
 
图6 FISH检测
 
▌诊断:
 
左乳浸润性癌cT4aN3cM1 IV期HER2阳性脑、肝、骨转移
 
治疗经过
 
▌具体治疗方案:
 
2021-09至2022-04:汉曲优+吡咯替尼+白蛋白结合型紫杉醇9周期。
 
具体:
 
曲妥珠单抗(汉曲优)6mg/kg(首次 8mg/kg)d1静脉滴注,每3周一个周期;
 
马来酸吡咯替尼 400mg 每日口服;
 
白蛋白结合型紫杉醇每周期d1、8、15静脉滴注,每3周一个周期。
 
▌治疗后评价:
 
1.靶病灶1(乳腺原发病灶)评效:2周期部分缓解PR,4-6周期乳腺病灶呈非肿块样强化,无法测量病灶大小,8周期复查无强化,疗效达CR。(图7)
 
图7 靶病灶1(乳腺原发病灶)评效CR
 
2.靶病灶2(脑转移病灶)评效:2周期部分缓解PR,4周期病灶持续缩小,评效PR,6-8周期病灶消失,疗效达CR。(图8)
 
图8 靶病灶2(脑转移病灶)评效CR
 
3.靶病灶3、4(肝转移病灶)评效:2周期部分缓解PR,4-8周期病灶持续缩小,维持PR。(图9)
 
图9 靶病灶3、4(肝转移病灶)评效PR
 
▌总体评价:
 
靶病灶总体评效PR;非靶病灶评效非CR/非PD;整体评效PR。
 
▌后续治疗方案:
 
后续患者继续使用汉曲优+吡咯替尼+白蛋白紫杉醇方案治疗至今。
 
病例小结
 
该例患者为年轻女性,初诊HER2阳性晚期乳腺癌cT4aN3cM1伴脑、肝、骨转移。一线汉曲优+吡咯替尼+白蛋白结合型紫杉醇治疗,乳腺病灶6周期后评效CR,脑转移病灶6周期后评效CR,肝脏病灶2周期至今维持PR,整体PFS 大于8个月。HER2阳性晚期乳腺癌中约25%~50%会伴发脑转移[1],一旦患者发生脑转移,其预期寿命缩短,回顾性研究显示,乳腺癌脑转移患者的中位总生存期(OS)仅6.9个月,1年OS率仅为35%,2年OS率仅为17%[2],且脑转移患者的生活质量降低。治疗手段包括手术、放疗、药物治疗和对症支持治疗。总体治疗原则是在充分评估全身情况的前提下,优先考虑针对脑转移的手术和/或放疗,同时合理考虑全身治疗[3]
 
该患者首诊时除乳腺原发病灶及脑转移病灶外还合并肝转移及骨转移,根据多学科团队讨论结果,一线治疗方案为曲妥珠单抗联合小分子TKI抗HER2靶向治疗联合化疗,结合小分子TKI在HER2阳性稳定性脑转移患者疗效、既往应用抗HER2靶向生物类似药的疗效及患者经济能力等因素的考量,建议患者一线靶向治疗方案为我国首个中欧双批的曲妥珠单抗生物类似药(汉曲优)及另一国产小分子TKI吡咯替尼,化疗方案为国产白蛋白结合型紫杉醇注射剂。至目前患者病情稳定,并持续获益中,而且患者生活质量得到了明显的改善,未观察到心脏毒性的增加。
 
大分子药物曲妥珠单抗联合小分子药物吡咯替尼双靶治疗HER2阳性乳腺癌的作用机制互补,具有协同抗肿瘤作用。尽管在乳腺癌晚期一线还没有二者联合的大型临床研究数据公布,但在真实世界中已经有很多这种方案的尝试并且取得了较好的疗效。本病例中,患者诊断符合HER2阳性乳腺癌晚期一线治疗的指征,汉曲优+吡咯替尼+白蛋白结合型紫杉醇显示出良好的疗效和安全性。
 
专家点评
 
HER-2阳性乳腺癌恶性程度高,生物学行为差,容易出现复发和转移。脑转移在HER2阳性乳腺癌患者中发生比例高,这类病人的预后更差。以抗HER2靶向治疗为核心的全身系统治疗是HER2阳性乳腺癌脑转移患者的重要治疗手段。曲妥珠单抗为大分子单克隆抗体,作用于HER2蛋白的胞外区,在1998年引入到HER2阳性乳腺癌的治疗之后,使得HER2阳性晚期乳腺癌患者的生存率得到了显著改善。本研究所采用曲妥珠单抗汉曲优是我国自主研发的生物类似药。生物类似药是指在质量、安全性和有效性方面与已获准注册的参照药具有相似性的治疗用生物制品。汉曲优作为国内首个中欧同步上市的曲妥珠单抗生物类似药,其Ⅲ期临床研究结果显示汉曲优与原研曲妥珠单抗疗效等效,安全性、免疫原性相似[4]。汉曲优为不含防腐剂的小规格药物,解决了患者顾虑、减轻了护理人员工作量。目前曲妥珠单抗生物类似药也得到ESMO指南、NCCN指南、CSCO指南、CACA-CBCS指南的推荐。小分子TKI类药物如吡咯替尼与HER2蛋白的胞内段相结合,口服耐受性好,能够透过血脑屏障,联合化疗对于乳腺癌脑转移患者疗效较好[5]。解放军总医院第五医学中心江泽飞教授和中国医学科学院肿瘤医院徐兵河教授牵头的PHENIX、PHOEBE两项Ⅲ期研究在晚期解救治疗中都表明吡咯替尼对于晚期乳腺癌伴有脑转移有良好的治疗效果和耐受性[6-7]。另外,今年初最新发表在《Lancet Oncology》的河南省肿瘤医院乳腺科闫敏教授牵头的PERMEATE研究结果显示吡咯替尼联合卡培他滨方案对HER2阳性乳腺癌脑转移患者颅内和颅外病灶均能有效控制,尤其是既往未接受脑部局部放疗的患者获益明显,为吡咯替尼联合卡培他滨方案治疗HER2阳性乳腺癌脑转移患者增加了又一个有力的循证医学证据[8]
 
综合上述药物机制与既往多项靶向治疗研究数据,吡咯替尼联合曲妥珠单抗的用药组合极有可能为HER2阳性伴有稳定性脑转移的晚期乳腺癌患者带来获益。
 
本例HER2阳性晚期乳腺癌伴脑、肝、骨转移患者,一线应用汉曲优+吡咯替尼+白蛋白结合型紫杉醇治疗,乳腺、脑病灶达到CR、肝脏PR,整体PFS已超过8个月,耐受性良好,显示出国产抗HER2靶向药物(汉曲优及吡咯替尼)联合国产化疗药物(白蛋白结合型紫杉醇)具有良好的有效性和安全性。说明我国自主研发的药物,机制互补,强强联合,选择合适的患者,同样可以给肿瘤负荷大,预后更差的脑转移患者带来显著的疗效,甚至长期的生存获益。
 
参考文献
 
1. Cancer Research, 2013. 19(23): p. 6404-6418;
 
2. American Journal of Pathology, 2005. 167(4): p. 913-920;
 
3.《2022CSCO乳腺癌诊治指南》;
 
4. 生物类似药研发与评价技术指导原则(试行);
 
5. Nature Reviews Clinical Oncology, 2020. 17(5);
 
6. Transl Breast Cancer Res 2020;1:13;
 
7 The Lancet Oncology, 2021,22(3):351-360.
 
8. Lancet Oncol 2022; published online Jan 24. https://doi.org/10.1016/S1470-2045(21)00716-6.
 
病例作者简介
 
 
周鑫 教授
 
医科学博士,博士后,副教授,硕士生导师
 
锦州医科大学附属第一医院乳腺头颈肿瘤内科病区副主任
 
2014年辽宁省“百千万人才工程”千人层次
 
辽宁省抗癌协会化疗专业委员会委员
 
辽宁省免疫学会肿瘤免疫专业委员会委员
 
辽宁省医学会肿瘤学分会青年委员会青年委员
 
辽宁省乳腺肿瘤精准治疗与临床科研专委会委员
 
锦州市流行病学学会委员
 
点评专家简介
 
 
翟振华 教授
 
副教授、硕士生导师、英国纽卡斯尔大学肿瘤学博士、博士后
 
锦州医科大学附属第一医院乳腺、头颈肿瘤内科主任
 
奥地利弗朗茨约瑟夫国王医院肿瘤中心访问学者
 
中国临床肿瘤学会肿瘤心脏病学专家委员会委员
 
中国医药教育协会腹部肿瘤专业委员会循证医学学组委员
 
中国肺癌防治联盟液体活检专业委员会委员
 
中国肿瘤健康管理学院学术委员
 
中国生物类似药协作组学术委员
 
中国抗癌协会乳腺癌科普教育基地负责人
 
中国妇联女性肿瘤基金会乳腺癌预防大使
 
辽宁省细胞生物学会乳腺肿瘤精准治疗与
 
临床科研专委会副主委
 
辽宁省生命科学学会癌痛诊治委员会副主委
 
辽宁省中医药学会淋巴水肿防治学会副主委

 

本内容仅供医学专业人士参考


HER2阳性晚期乳腺癌

分享到: 更多