当前位置:肿瘤瞭望>百家>病例>正文

靶向先行,胃来可期丨一例汉曲优联合化疗治疗HER2阳性胃癌肝转移的病例分享

作者:肿瘤瞭望   日期:2022/8/23 11:51:14  浏览量:24144

肿瘤瞭望版权所有,谢绝任何形式转载,侵犯版权者必予法律追究。

中国是胃癌大国,根据国家癌症中心2022年发布的2016年癌症统计数据,中国胃癌的发病率和死亡率在恶性肿瘤中均位居第3位[1],70%的胃癌患者确诊时为局部进展期或晚期胃癌。HER2阳性胃癌是一类高度异质性肿瘤,我国胃癌患者HER2阳性率为12~13%[2],肠型、男性患者阳性率更高;肝是胃癌血行转移最为常见的转移部位之一,肝转移发生率约4~14%[3]。本文通过分享汉曲优?联合化疗治疗一例HER2阳性胃癌伴肝转移病例,探讨HER2阳性晚期胃癌伴肝转移患者的临床获益情况。(注:本文中汉曲优为复宏汉霖研发生产的曲妥珠单抗)

 ▌病例作者:董琪医生 陈旭芳医生 滨州医学院烟台附属医院 

 
▌点评专家:马学真教授 青岛市中心医院
 
编者按
 
●中国是胃癌大国,根据国家癌症中心2022年发布的2016年癌症统计数据,中国胃癌的发病率和死亡率在恶性肿瘤中均位居第3位[1],70%的胃癌患者确诊时为局部进展期或晚期胃癌。HER2阳性胃癌是一类高度异质性肿瘤,我国胃癌患者HER2阳性率为12~13%[2],肠型、男性患者阳性率更高;肝是胃癌血行转移最为常见的转移部位之一,肝转移发生率约4~14%[3]。本文通过分享汉曲优®联合化疗治疗一例HER2阳性胃癌伴肝转移病例,探讨HER2阳性晚期胃癌伴肝转移患者的临床获益情况。(注:本文中汉曲优为复宏汉霖研发生产的曲妥珠单抗)
 
病史简介
 
患者:男,81岁,69kg。
 
主诉:间断腹痛2月。
 
既往史:无高血压、糖尿病、冠心病等慢性病史。
 
家族史:否认肿瘤家族史。
 
查体:ECOG 1分,浅表淋巴结未触及肿大,贫血貌,皮肤及睑结膜苍白,皮肤巩膜无黄染,腹平软,腹部无压痛,全腹未触及包块,肝肋下未触及,肝区叩痛(-),移动性浊音阴性。
 
▌影像学检查:
 
2021年10月31日
胸+全腹、盆腔增强CT:胃体部胃壁不均匀增厚并胃小网膜囊淋巴结肿大,考虑胃Ca。肝右叶多发占位性病变,最大截面积约10.2cm×7.0cm,符合转移瘤。
 
2021年11月01日
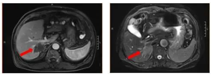
腹部增强MRI:胃壁增厚并腹腔内多发肿大淋巴结(较大者直径约2.6cm),考虑胃Ca并淋巴结转移;肝内多发异常信号灶,考虑转移瘤,6.4*7.8cm。
 
 图1 腹部增强MRI
 
2021年11月04日
胃镜:贲门下方、胃体前壁、胃体小弯侧、胃体后壁见巨大溃疡性肿物,考虑胃癌并出血。
 
图2.胃镜
 
▌肿瘤病理:
 
2021年11月07日
胃镜活检病理:胃体腺癌,MSS,HER2(2+)
 
2021年11月09日
FISH:HER2扩增
 
诊断:胃腺癌Ⅳ期(cTxN+M1)腹腔淋巴结转移 肝转移
 
治疗经过
 
2021-11-10行靶向治疗联合化疗1周期:曲妥珠单抗 550mg d0+PTX 240mg d1+NDP 60mg d2-d3,q3w
 
2021-12-01至2022-02-05行2-5周期靶向治疗联合化疗:曲妥珠单抗 450mg d0+PTX 240mg d1+NDP 60mg d2-d3,q3w
 
2021-12-21(治疗2周期后) 腹部增强MRI:胃壁增厚较前减轻,腹腔多发肿大淋巴结较前减小、较大者直径约1.6cm,肝脏病灶较前缩小、6.9*5.5cm,评效SD(缩小18%)
 
图3.治疗2周期后腹部增强MRI影像图
 
2022-02-04(治疗4周期后)胃壁增厚、腹腔多发肿大淋巴结无明显变化;肝脏病灶继续较前缩小、4.6*3.1cm,部分转移病灶消失,评效SD(缩小27%)
 
 图4.治疗4周期后腹部增强MRI影像图
 
2022-02-27全腹增强CT:肝内多发转移性病变较前明显缩小,最大截面积4.4cm×3.2cm;胃壁增厚程度较前减轻;胃小网膜囊内肿大淋巴结较前减少、部分较前缩小。
 
2022-03-01胃镜:贲门下方、胃体前壁、胃体小弯侧、胃体后壁黏膜粗糙不平,胃体后壁溃疡对比既往胃镜检查明显缩小。
 
图5.治疗5周期后胃镜
 
2022-03-01肝脏增强MRI(特异性对比剂):肝内多发转移瘤,大者位于肝右后叶,大小4.6*3.1cm,腹腔内仍见多发肿大淋巴结,直径1.6cm。
 
图6.治疗5周期后腹部增强MRI
 
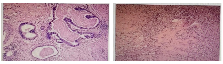
2022-03-04行肝脏部分切除术+胃癌根治术,病理:(全胃)见少量散在中分化腺癌组织,侵及浆膜下纤维结缔组织,脉管瘤栓(+),肿瘤退缩分级(TRG 1),LN 3/14见癌转移;(肝右叶转移瘤)未见肿瘤组织,符合化疗后反应,完全缓解;(左肝外叶、左肝内叶、右肝、右后叶转移瘤)可见纤维组织增生及组织细胞反应,符合化疗后反应;免疫组化:MSS、HER2(2+)、Ki67(+,30%)。
 
图7.胃术后病理(左)及肝转移术后病理(右)
 
2022-04-21行靶向治疗联合化疗1周期:曲妥珠单抗 450mg d0+PTX 240mg d1+NDP 60mg d2-d3,q3w,因出现化疗后骨髓抑制,2022-05-20、06-21改行曲妥珠单抗 400mg d0+白蛋白结合型紫杉醇 200mg d1、100mg d8、200mg d15,q4w,2周期。
 
现定期复查至今。
 
病例小结
 
HER2阳性胃癌是一类特殊的疾病亚型,需抗HER2治疗。该患者为HER2阳性胃癌伴肝转移,根据NCCN指南推荐,可选择铂类联合氟尿嘧啶类或紫杉醇的化疗方案。由于该患者初诊时胃癌并出血,考虑氟尿嘧啶类药物的黏膜炎副作用,选择铂类联合紫杉醇的化疗方案联合曲妥珠单抗治疗5周期后,肝脏转移瘤较前缩小、部分病灶消失,胃巨大溃疡型肿物明显缩小,行肝脏部分切除术+胃癌根治术,肝转移病灶病理显示达pCR、胃肿瘤退缩分级(TRG 1),实现RO切除,曲妥珠单抗联合TP方案新辅助治疗对该患者疗效确切。
 
曲妥珠单抗作用于HER2受体胞外结构域Ⅳ,阻断同源二聚体的形成,从胞外阻断信号传导。ToGA研究已经证实HER2状态可用于筛选曲妥珠单抗治疗的潜在获益人群[4]。中国的前瞻性大样本队列观察研究和日本的回顾性研究结果均表明,在真实世界研究(real world study,RWS)中,HER2阳性晚期胃癌患者可以从曲妥珠单抗治疗中获益[5,6]。Gomez-Martin等的研究进一步显示,在接受曲妥珠单抗治疗的晚期胃癌患者中,HER2基因扩增水平的高低可以用来预测晚期胃癌患者对曲妥珠单抗治疗的敏感性和总生存获益。因此,在该病例中给予患者抗HER2靶向治疗是非常必要的。
 
专家点评
 
胃癌是我国高发的消化道恶性肿瘤,根据世界卫生组织国际癌症研究机构(IARC)发布的2020年中国最新癌症负担数据:2020年中国癌症新发病例457万例,其中胃癌48万例位居第三[1]。因缺乏有效筛查手段,大多数的胃癌患者确诊时为局部进展期或进展期胃癌。肝脏是胃癌血行转移最常见的转移器官[3]。HER2阳性胃癌是高度异质性、侵袭性强、复发率高、预后不良,中国人群胃癌HER2阳性率约为12~13%。曲妥珠单抗联合化疗是HER2阳性晚期胃癌的标准一线治疗。
 
Ⅲ期ToGA研究入组了584例未经化疗的HER2阳性晚期胃癌患者,结果证实曲妥珠单抗+化疗对比安慰剂+化疗,中位OS分别为13.8个月和11.1个月,曲妥珠单抗在HER2表达水平较高患者中尤其有效,这类患者的中位OS为16.0个月。基于此,化疗+曲妥珠单抗成为了 HER2阳性晚期胃癌患者的一线治疗标准[4]。2022 CSCO胃癌指南Ⅰ级推荐:HER2阳性晚期胃癌患者应予曲妥珠单抗联合奥沙利铂/顺铂+5-FU/卡培他滨治疗[9]。本案例也证实曲妥珠单抗联合化疗对晚期胃癌伴有肝转移患者治疗的有效性。
 
汉曲优是曲妥珠单抗的生物类似药,完整的相似性评价证实了汉曲优与原研曲妥珠单抗疗效等效、安全性相似[7]。NCCN、ESMO指南均支持经批准的生物类似药可合理替代曲妥珠单抗[8]。根据2020年《中国生物类似药专家共识》规定:生物类似药与参照药疗效等同、安全性相似,临床上可以替代使用。尽管生物类似药在研发阶段只在一个适应证开展了临床试验,根据“适应证外推”原则,可获得参照药的其他所有具有相同作用机制的适应证[10]。2020年,汉曲优同时在中国获得转移性乳腺癌、早期乳腺癌和转移性胃癌三个适应证,这为HER2阳性的转移性胃癌患者带来更多的治疗选择。
 
本病例中,患者为HER2阳性、MSS、伴有腹腔淋巴结转移、肝转移的Ⅳ期胃癌,参照指南,考虑到患者初诊时胃癌并出血,最终选择了铂类联合紫杉醇的化疗方案联合曲妥珠单抗。治疗5个疗程后,行肝脏部分切除术+胃癌根治术,肝转移病灶病理显示达PCR、胃肿瘤退缩分级(TRG 1),实现RO切除,曲妥珠单抗联合TP方案新辅助治疗对该患者疗效确切。
 
治疗过程中仅观察到胃肠道反应,心脏、肝肾功能毒性及免疫治疗相关毒性均未出现,安全性可控。本案例证实了汉曲优在HER2阳性胃癌伴肝转移治疗上疗效显著,安全性良好,临床上可以替代使用。
 
参考文献
 
[1] Zheng R ,  Zhang S ,  Zeng H , et al. Cancer incidence and mortality in China, 2016[J]. Journal of the National Cancer Center, 2022.
 
[2]左婷婷,郑荣寿,曾红梅,等.中国胃癌流行病学现状.中国肿瘤临床,2017,4(1):52-58.
 
[3] 陈凛, 郗洪庆, 李佶阳. 胃癌肝转移规范化治疗[J]. 中国实用外科杂志, 2014, 34(07):619-621.
 
[4] Bang Y J , Cutsem E V , Feyereislova A , et al. Trastuzumab in combination with chemotherapy versus chemotherapy alone for treatment of HER2-positive advanced gastric or gastro-oesophageal junction cancer (ToGA): a phase 3, open-label, randomised controlled trial[J]. LANCET -LONDON-, 2010.
 
[5] Kurokawa Y , Sugimoto N ,  Miwa H , et al. Phase II study of trastuzumab in combination with S-1 plus cisplatin in HER2-positive gastric cancer (HERBIS-1)[J]. British Journal of Cancer, 2014, 110(5).
 
[6] Kozo K , Masanori T , Junki M , et al. A randomized Phase II trial of systemic chemotherapy with and without trastuzumab followed by surgery in HER2-positive advanced gastric or esophagogastric junction adenocarcinoma with extensive lymph node metastasis: Japan Clinical Oncology Group study JCO[J]. Japanese Journal of Clinical Oncology, 2015(11):1082-1086.
 
[7]  Xu B, Zhang Q, Sun T, et al. HLX02-BC01 Investigators. Efficacy, Safety, and Immunogenicity of HLX02 Compared with Reference Trastuzumab in Patients with Recurrent or Metastatic HER2-Positive Breast Cancer:A Randomized Phase III Equivalence Trial. BioDrugs. 2021, 35(3):337-350.
 
[8] NCCN Clinical Practice Guidelines in Oncology (NCCN Guidelines?) Breast Cancer,NCCN Guidelines for Patients? available at www.nccn.org/patients[J]. 2022.
 
[9] 中国临床肿瘤学会指南工作委员会. 胃癌诊疗指南2021版[J]. 2021.
 
[10] 生物类似药临床应用管理专家共识(第一版)[J].中华医学杂志,2020,100(38):2982-2989.
 
病例作者简介
 
 
董琪 医生
 
滨州医学院烟台附属医院住院医师
 
哈尔滨医科大学学士、硕士研究生
 
擅于胃癌、结直肠癌的分子靶向治疗、化疗、免疫治疗
 
癌痛规范化治疗、恶性肿瘤患者营养治疗
 
对恶性肿瘤的恶性胸腹腔积液恒温体腔热灌注治疗有一定研究
 
 
陈旭芳 医生
 
滨州医学院烟台附属医院肿瘤学教研室主任
 
肿瘤一科主任 主任医师
 
中国抗癌协会肿瘤热疗专业委员会肿瘤热化疗灌注专家委员会常委
 
中国癌症基金会肿瘤心理协作组常务委员
 
中国抗癌协会肿瘤心理学专业委员会委员
 
中国中药协会肿瘤药物研究专业委员会委员
 
山东省抗癌协会肿瘤心理学分会副主任委员
 
山东预防医学会肿瘤防治分会副主任委员
 
山东预防医学会肿瘤早诊早治分会常务委员
 
山东医师协会肿瘤化疗医师分会常务委员
 
烟台市抗癌协会第四届理事会常务理事
 
病例点评专家简介
 
 
马学真 教授
 
青岛大学附属市中心医院副院长 青岛市肿瘤医院副院长
 
二级教授 博士生导师
 
国务院特殊津贴专家 青岛拔尖人才
 
青岛医学会 肿瘤分会 主任委员
 
山东抗癌协会生物治疗委员会 主任委员
 
中国医师协会 肿瘤分会 常委
 
中华医学会放疗分会 委员
 
山东省医学会 肿瘤分会 副主任委员
 
山东省临床肿瘤学会 副理事长
 
中国老年学会精准医疗分会 副主任委员
 
中国肿瘤临床学会(CSCO) 理事  基金委理事
 
山东省重点专科(肿瘤学)学科带头人
 
青岛市A类重点学科(肿瘤学)带头人
 

本内容仅供医学专业人士参考


胃癌肝转移

分享到: 更多