当前位置:肿瘤瞭望>百家>病例>正文

双靶抗HER2,异曲同优丨一例早期乳腺癌新辅助治疗的病例分享

作者:肿瘤瞭望   日期:2022/8/2 10:12:54  浏览量:18424

肿瘤瞭望版权所有,谢绝任何形式转载,侵犯版权者必予法律追究。

乳腺癌发病率逐年升高,其中分子分型为HER2阳性的乳腺癌恶性程度高,容易出现复发和转移,随着抗HER2靶向药物的问世,大大改善了这一类乳腺癌患者的预后,尤其是国产曲妥珠单抗的上市,给这类患者提供了更多的药物选择。大量的临床研究结果显示新辅助化疗可以缩小肿瘤,检验所用药物的有效性,对于达到pCR的患者可以提高患者的生存率,因此目前国内外各大指南均推荐针对肿瘤>2cm,HER2阳性的乳腺癌患者进行新辅助治疗,首选方案为TCbHP或THP。本文通过一例HER2阳性乳腺癌使用汉曲优?+帕妥珠单抗双靶联合化疗药物进行新辅助治疗达到pCR的病例,探讨了HER2阳性乳腺癌患者的新辅助治疗选择。(注:本文中汉曲优为复宏汉霖研发生产的曲妥珠单抗)

▌病例作者:李姝墨医生 昆明医科大学第一附属医院乳腺外科

 
▌点评专家:段文晶教授 昆明医科大学第一附属医院乳腺外科
 
编者按
 
●乳腺癌发病率逐年升高,其中分子分型为HER2阳性的乳腺癌恶性程度高,容易出现复发和转移,随着抗HER2靶向药物的问世,大大改善了这一类乳腺癌患者的预后,尤其是国产曲妥珠单抗的上市,给这类患者提供了更多的药物选择。大量的临床研究结果显示新辅助化疗可以缩小肿瘤,检验所用药物的有效性,对于达到pCR的患者可以提高患者的生存率,因此目前国内外各大指南均推荐针对肿瘤>2cm,HER2阳性的乳腺癌患者进行新辅助治疗,首选方案为TCbHP或THP。本文通过一例HER2阳性乳腺癌使用汉曲优®+帕妥珠单抗双靶联合化疗药物进行新辅助治疗达到pCR的病例,探讨了HER2阳性乳腺癌患者的新辅助治疗选择。(注:本文中汉曲优为复宏汉霖研发生产的曲妥珠单抗)
 
病例基本信息
 
患者:洪XX,女,41岁,150cm,65kg。
 
主诉:发现右乳肿物4月余。
 
婚育月经史:已婚,G2P1,月经正常,末次月经2021.8.23。
 
既往史:无高血压、糖尿病等慢性病史。
 
家族史:否认肿瘤家族史。 
 
查体:双乳对称,皮肤无红肿,无皮疹,右乳外上象限局部稍隆起。右乳外上象限触及约4×4cm肿物,质硬,边界不清,活动度欠佳,左乳未及明显肿物。右腋窝触及约1.5×1cm肿大淋巴结,质硬,边界清,活动可,双侧颈部、锁骨上、左腋下未及明显肿大淋巴结。
 
实验室检查:血常规、生化、凝血功能、感染病毒学、肿瘤标记物未见明显异常。
 
▌影像学检查:
 
2021.6.28乳腺超声示:右乳外上象限实性肿块,考虑乳腺癌(BI-RADS-5类)。
 
右乳10点方向腺体层探及一实质低回声肿块,大小约35.1×22.6mm,内部回声不均匀,其内可探及多个点状强回声,边界不清,形态不规则,周边可见毛刺征,CDFI、CDE示其内血供丰富。右侧腋窝探及多个实质低回声结节,大者约10.2×5.2mm,皮质稍增宽,CDFI、CDE示其内血供不丰富。
 
图1. 乳腺超声
 
2021.7.6 钼靶示:右乳外上象限肿块,考虑乳腺癌(BI-RADS-5类)右腋下肿大淋巴结,M灶可能。
 
右乳外上象限不规则高密度肿块,边缘毛糙,大小约3.3×2.7cm,邻近皮肤牵拉增厚,右腋下见肿大淋巴结。
 
图2. 钼靶
 
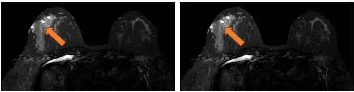
2021.7.7乳腺MRI:右乳外上象限肿物(BI-RADS-6)3.1cm×1.9cm×3.0cm,右腋窝见肿大淋巴结,M灶可能。
 
右乳外上象限见不规则肿块,呈长/稍长T2、等T1信号,DWI呈高信号,ADC图信号减低,ADC值约0.863,增强扫描明显强化,TIC呈Ⅲ型,大小约3.1×1.9×3.0cm,邻近皮肤增厚,皮下脂肪层模糊,另肿块外侧旁见小肿块影,增强明显强化,与外上象限肿块相连。右侧腋窝见肿大淋巴结。
 
图3. 乳腺MRI
 
▌其他影像学资料:
 
2021.7.8 腹部彩超示:肝多发实性结节(血管瘤可能)。
 
2021.7.8 肝脏MRI:肝脏多发异常信号,考虑血管瘤。
 
2021.7.6 双肺CT示:未见异常。
 
▌肿瘤分子病理:
 
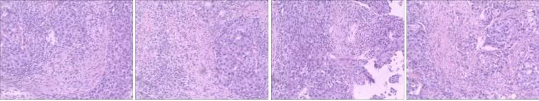
2021.6.28 右乳肿物穿刺活检病理:浸润性乳腺癌,非特殊型,WHO 2级NST  ER(-),PR(-),HER2(3+),Ki67(70%)。
 
图4. 免疫组化
 
▌诊断:
 
右乳浸润性癌cT2N1M0 (Ⅱb期 HER2型)
 
治疗经过
 
▌治疗经过:具体治疗方案
 
2021.6 门诊右乳肿物穿刺活检示:右乳浸润性癌,非特殊型。
 
2021.7~2021.9 THP(多西他赛140mg+汉曲优6mg/kg[首次8mg/kg])+帕妥珠单抗420mg(首次840mg)×3 cycle。
 
▌治疗后评价:
 
(2 cycle 后)2021.8.31 乳腺超声示:右乳10点实性肿块 44.9mm×13.1mm。
 
图5. 乳腺超声
 
(3 cycle 后)2021.9.21 钼靶示:右乳外上象限不规则形肿块明显缩小,右腋窝淋巴结亦较前缩小。
 
图6. 钼靶
 
(3 cycle 后)2021.9.22 复查乳腺MRI示:右乳肿块较前减小14mm×9mm×18mm。
 
图7. 乳腺MRI
 
▌其他影像学检查:
 
2021.9.21 腹部彩超示:肝右后叶多发实性结节(血管瘤可能)。
 
▌临床疗效评价PR:
 
患者由于化疗后出现Ⅳ骨髓抑制,拒绝继续新辅助化疗,要求手术治疗,遂于2021.9.23行右乳癌改良根治术。
 
▌术后病理:
 
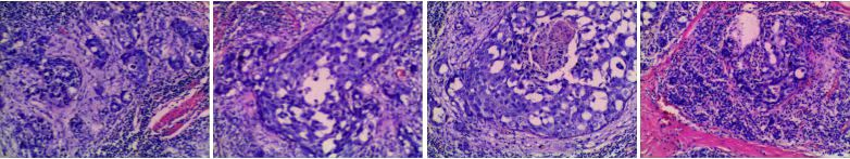
2021.9.23右乳癌改良根治术标本:乳腺组织见治疗后反应,可见高级别导管内癌残留,瘤床大小约2.0×1.5×1.5cm,未见脉管癌栓,未见浸润性癌,四周及基底切缘未见癌,乳头未见癌,疗效评估(MP 5级)腋窝淋巴结0/11。
 
ER(-),PR(-),HER2(导管内癌3+),Ki67(20%)。
 
 
图8. 术后免疫组化
 
术后诊断:右乳癌术后(pT0N0M0)
 
▌后续治疗方案:
 
汉曲优+帕妥珠单抗至1年
 
▌病例小结:
 
本例是一位年轻的乳腺癌患者,经穿刺右乳肿物确诊为HER2阳性型,虽然遗憾的是右腋窝淋巴结未行穿刺,但根据乳腺超声、钼靶及乳腺MRI,腋窝淋巴结转移的可能性较大,首诊右乳癌cT2N1M0 Ⅱb期,根据CSCO、NCCN等指南推荐,建议此患者进行新辅助化疗,推荐方案为TCbHP或THP,考虑患者较年轻,后续生存质量及可能会有生育要求,建议其化疗前使用OFS保护卵巢,患者拒绝。结合患者肿瘤类型及自身情况,为患者选择了双靶联合单药化疗THP方案,其中H为国产曲妥珠单抗汉曲优,经过两个周期的新辅助化疗后,患者自我感觉及乳腺超声均提示右乳肿物明显缩小,大大增强了患者战胜癌症的信心,第三周期化疗后全面复查,临床查体右乳外上象限肿物体表无法触及,影像学乳腺超声、钼靶及乳腺MRI评估提示右乳肿物明显缩小,右腋窝肿大淋巴结明显缩小,消失。由于患者出现了化疗后重度骨髓抑制,虽然经处理好转,但患者拒绝继续按原计划行新辅助化疗6周期,要求手术治疗。于2021.9.23全麻下行右乳癌改良根治术,可喜的是,病理结果提示右乳癌肿达到了完全病理缓解。
 
专家点评
 
1、HER2阳性乳腺癌患者新辅助治疗应及早进行抗HER2治疗
 
HER2是乳腺癌明确的预后指标和药物治疗效果的预测指标。针对该靶点的新药不断涌现,极大地改善了这个群体的预后。作为第一个靶向HER2的人源化单克隆抗体,曲妥珠单抗改变了HER2阳性乳腺癌患者的预后局面,影响了乳腺癌的诊疗模式,是乳腺癌药物治疗的重要突破。曲妥珠单抗生物类似药也已在国内上市,为我国乳腺癌患者提供了更多的治疗选择。根据2022年CSCO乳腺癌指南,乳腺癌术前新辅助治疗的适应证主要如下:肿块>5cm;腋窝淋巴结阳性;HER2阳性;三阴性以及有保乳意愿但是肿瘤大小与乳房体积比例大难以保乳的患者。对于HER2阳性乳腺癌新辅助治疗的选择,主要是以抗HER2的靶向治疗作为基础,然后辅以化疗。NeoSphere、PEONY研究结果显示[1-2],将曲妥珠单抗+帕妥珠单抗+化疗进行联合(THP)与曲妥珠单抗+多西他赛相比,结果显示双靶+化疗的病理完全缓解(pCR)率显著提高;KRISTINE研究[3]结果显示,多西他赛+卡铂+曲妥珠单抗+帕妥珠单抗(TCbHP)方案可使患者获得高达97.5%的3年IDFS。因此,2022年新版CSCO乳腺癌指南,对HER2阳性乳腺新辅助治疗方案1A推荐TCbHP方案。
 
2、HER2阳性乳腺癌新辅助化疗周期的选择
 
目前对于HER2阳性的乳腺癌患者新辅助化疗的疗程选择仍有争议,根据PEONY、NeoSphere研究4周期的双靶新辅助治疗,pCR可达到40%以上,TRYPHAENA研究[4]结果显示,增加新辅助化疗至6周期,pCR率可达到60%以上,基于这些研究结果,新辅助化疗的周期建议4~6周期,尤其对于疗效好的患者,足疗程、足量、规范的新辅助治疗是提高pCR率的有效保障。此患者幸运的是,3周期的THP就达到了临床病理完全缓解,是一个非常成功的新辅助双靶治疗案例,手术后治疗根据指南,推荐继续双靶至1年。
 
3、曲妥珠单抗-汉曲优疗效显著,耐受性良好
 
曲妥珠单抗作为HER2阳性乳腺癌基石药物,在过去二十几年中,HER2阳性乳腺癌患者经历过“买不起药”的困境,后来曲妥珠单抗进入医保后,又遇到了“买不到药”的情况,现在,我们有自己民族企业开发的曲妥珠单抗了,极大地满足了临床用药的需求。汉曲优是首个国产曲妥珠单抗,《CSCO乳腺癌诊疗指南(2021版、2022版)》[5]、《CSCO胃癌诊疗指南(2021版、2022版)》[6]以及《中国抗癌协会乳腺癌诊治指南与规范(2021版)》[7]先后将曲妥珠单抗生物类似药纳入相关推荐用药,为中国临床医生的规范化用药提供了重要的指导。本案例中采用的曲妥珠单抗即国产的曲妥珠单抗汉曲优,采用TCbHP新辅助治疗方案,术后病理达到pCR,获益显著,这为生物类似药的应用提供了很好的参考。
 
参考文献
 
1.Gianni L, Pienkowski T, Im YH, et al. 5-year analysis of neoadjuvant pertuzumab and trastuzumab in patients with locally advanced, inflammatory, or early-stage HER2-positive breast cancer (NeoSphere): a multicentre, open-label, phase 2 randomised trial. Lancet Oncol. 2016;17(6):791-800. doi:10.1016/S1470-2045(16)00163-7
 
2.Shao Z, Pang D, Yang H, et al. Efficacy, Safety, and Tolerability of Pertuzumab, Trastuzumab, and Docetaxel for Patients With Early or Locally Advanced ERBB2-Positive Breast Cancer in Asia: The PEONY Phase 3 Randomized Clinical Trial. JAMA Oncol. 2020;6(3):e193692. doi:10.1001/jamaoncol.2019.3692
 
3.Hurvitz SA, Martin M, Symmans WF, et al. Neoadjuvant trastuzumab, pertuzumab, and chemotherapy versus trastuzumab emtansine plus pertuzumab in patients with HER2-positive breast cancer (KRISTINE): a randomised, open-label, multicentre, phase 3 trial. Lancet Oncol. 2018;19(1):115-126. doi:10.1016/S1470-2045(17)30716-7
 
4.Schneeweiss A , Chia S , Hegg R , et al. Evaluating the predictive value of biomarkers for efficacy outcomes in response to pertuzumab- and trastuzumab-based therapy: an exploratory analysis of the TRYPHAENA study[J]. Breast Cancer Research, 2014, 16(4):R73.
 
5.中国临床肿瘤学会指南工作委员会. 乳腺癌诊疗指南2022版[J]. 2022
 
6.中国临床肿瘤学会指南工作委员会. 胃癌诊疗指南2021版[J]. 2021.
 
7.中国抗癌协会乳腺癌专业委员会. 中国抗癌协会乳腺癌诊治指南与规范(2011版)[J].
 
病例作者简介
 
 
李姝墨 医生
 
昆明医科大学第一附属医院 主治医师
 
云南省乳腺癌预防医学会委员
 
云南省医疗整形美容协会委员
 
主要从事乳腺外科工作,擅长:乳腺良恶性肿瘤的早期诊断和治疗,乳腺疾病的超声诊断及乳腺肿瘤常规手术、微创手术、整形手术等
 
病例点评专家简介
 
 
段文晶 教授
 
昆明医科大学第一附属医院
 
乳腺外科 主任医师
 
中华医学会云南省分会乳腺专业组委员
 
云南省女医师协会外科学分会副主任委员
 
云南省医师协会乳腺癌专业委员会委员
 
云南省抗癌协会乳腺癌专业委员会常委
 
云南省预防医学会乳腺癌专业委员会常委
 
主要从事以乳腺疾病为主的临床、教学及科研研究,主要 研究乳腺癌早期诊治、综合性治疗及乳腺癌术后整形修复 (乳腺癌改良根治术、保留乳房的乳腺癌根治术、ⅠⅡ期乳 房再造术)参与科研课题8项并获得2项云南省科学技术进 步三等奖。发表专著《恶性肿瘤临床治疗与分析》1部, 专业科研论文20余篇,北大核心5篇,SCI 2篇
 

本内容仅供医学专业人士参考


HER2阳性乳腺癌

分享到: 更多