局部进展期胃癌能从新辅助治疗获益吗?请看朱正纲教授的解读及经验

作者:肿瘤瞭望   日期:2019/5/16 10:35:50  浏览量:28323

肿瘤瞭望版权所有,谢绝任何形式转载,侵犯版权者必予法律追究。

对于进展期胃癌患者,化疗方案结合分子靶向治疗方案对比单纯化疗是否有更好的效果?

编者按:对于进展期胃癌患者,化疗方案结合分子靶向治疗方案对比单纯化疗是否有更好的效果?5月8~11日,在捷克首都布拉格召开的第13届国际胃癌大会(IGCC 2019)上,上海交通大学医学院附属瑞金医院朱正纲教授团队展示的一项相关研究显示,阿帕替尼加SOX的联合方案安全性良好,大部分患者获得疾病部分缓解。在会议现场,《肿瘤瞭望》记者特邀朱正纲教授对该研究进行了精彩解读并介绍了本中心经验。

 
而在本次会议上展示的另一项来自中南大学湘雅二医院姚宏亮教授团队的研究同样证实了阿帕替尼联合SOX方案对进展期胃癌术前治疗的有效性(见本文后的研究链接),从而为开展该方案的Ⅲ期临床研究,以及未来该方案作为新辅助化疗治疗进展期胃癌增添了新的循证医学证据支持。
 
朱正纲教授上海交通大学医学院附属瑞金医院
 
阿帕替尼联合SOX方案用于局部进展期胃癌新辅助化疗的Ⅱ期临床研究
 
局部进展期胃癌单纯手术治疗疗效不佳。新辅助化疗能使局部进展期胃癌患者提高根治性切除机率,并能显著延长其生存时间。靶向治疗药物阿帕替尼是口服VEGFR2酪氨酸激酶抑制剂,其联合化疗能提高消化系统肿瘤的化疗有效率,且安全性在可控范围。本研究旨在初步探索阿帕替尼联合SOX(S-1+奥沙利铂)方案用于局部进展期胃癌新辅助化疗的有效性和安全性。
 
这是一项前瞻性单臂Ⅱ期临床研究。研究纳入组织病理学确认的、且未接受过其他抗肿瘤治疗(包括放疗、化疗、靶向治疗和免疫治疗)的胃腺癌患者。筛选合格的患者,给予3个周期的阿帕替尼联合SOX方案的新辅助治疗,21天为1个周期(阿帕替尼,500 mg,口服,每天一次,第1~42天;S-1,40~60 mg,口服,每天一次,第1~14天;奥沙利铂,130 mg/m2,静脉滴注,第1天)。在最后一个周期,停用阿帕替尼,新辅助治疗结束4周后进行手术。研究的主要终点是新辅助治疗的安全性,次要终点包括R0切除率,客观缓解率(objective response rate,ORR)和疾病控制率(disease control rate,DCR)。
 
截止2018年8月,研究纳入29例患者(男性20例,女性9例)。患者中位年龄为60岁(43~73岁),主要病理类型为低分化腺癌(51.7%)。共有26例患者完成了3个周期的新辅助治疗,其中除1例因疾病进展外,其余25例均接受了胃癌根治术。安全性分析显示,虽然新辅助治疗的患者均发生不同程度的不良事件,但仅不到三分之一的不良事件为3/4级,而大多数不良事件主要是高血压、白细胞减少、血红蛋白降低和蛋白尿。接受胃癌根治术的25例患者中无死亡事件发生,发热事件有7例,十二指肠残端瘘、切口脂肪液化和胃轻瘫各有1例,但通过保守治疗后,均能痊愈出院,且无再次手术发生。疗效分析显示,新辅助治疗的ORR和DCR分别为76.9%和96.1%。
 
本研究结论认为,阿帕替尼联合SOX的新辅助治疗方案随后行胃根治性手术治疗局部进展期胃癌,其安全性在可控范围,且疗效良好。
 
该研究作者瑞金医院李琛教授(左)和郑亚南教授(右)在IGCC壁报前合影
 
 
朱正纲教授精彩解读:
 
阿帕替尼联合化疗的术前新辅助治疗有望改善进展期胃癌患者预后
 
★ Ⅱ期研究结果为进一步开展Ⅲ期临床研究提供了良好基础
 
阿帕替尼是我国自主研发的新型分子靶向药物,其适应证为晚期胃癌的三线治疗。现在有越来越多的研究认为胃癌的化疗,特别是进展期胃癌的化疗应在围手术期中逐步开展。部分进展期胃癌患者如果积极进行新辅助治疗,或能有更多获益。为探索化疗联合靶向治疗对进展期胃癌的效果,我们开展了一项阿帕替尼加SOX的联合治疗方案作为新辅助治疗用于术前进展期胃癌患者的前瞻性Ⅱ期研究。
 
由于既往并无类似报告,所以我们首先重点关注了该联合治疗方案的安全性问题,然后再看其对肿瘤降期的效果,包括病理缓解率。根据纳入29例患者的Ⅱ期临床研究结果,我们发现:术前的SOX方案加阿帕替尼治疗并没有增加手术并发症的发生风险;术前化疗的效果令人满意,大部分患者可以达到PR,即肿瘤不同程度的缩小,转移的淋巴结也得到有效控制,少数患者甚至达到CR。
 
为进一步验证Ⅱ期临床结果,目前我们即将在全国十多个中心启动前瞻性、Ⅲ期临床研究,将阿帕替尼和SOX方案作为术前进展期胃癌患者的新辅助治疗方案,希望通过这项多中心、前瞻性临床研究,能够更加明确该方案在新辅助治疗中的地位。具体而言,该Ⅲ期临床研究为3臂研究,分别为阿帕替尼(8周)加SOX并联合SHR1210、阿帕替尼(8周)加SOX方案、单纯SOX方案。三组均术前治疗3个周期,手术后继续SOX方案治疗3个周期。主要观察终点为病理缓解率(pRR)。如果包含阿帕替尼联合化疗的新辅助治疗方案组较单纯化疗组效果有所改善,则一方面可以进一步证明对进展期胃癌患者采取术前新辅助化疗的必要性,另一方面可以证实阿帕替尼和化疗的联合应用对于术前新辅助治疗也是一种选择。
 
★ 瑞金医院胃肠外科经验:术前新辅助治疗有助改善患者预后
 
新辅助治疗在我国开展的还不够普遍,大家经验也不多。我们已经开展了五六年的术前新辅助治疗,根据我们的经验,总的而言,根据近期疗效的观测,无论从病理上还是从患者术后的PFS甚至3年、5年OS来看,接受术前新辅助治疗患者的疗效有所提高,特别是从病理上可以看到,患者的肿瘤都有不同程度的消退。未接受新辅助治疗的进展期患者,其胃癌的淋巴结转移率相对较高,达60%~70%,而接受新辅助治疗后,相当一部分患者的淋巴结病理反应也比较明显,有的患者甚至没有淋巴结转移,我们在临床上都碰到过。因此,如果手术后经过新辅助治疗,患者的淋巴结没有转移或者有极个别的转移,将对患者预后的改善起到很大帮助。目前我们在国际上很多研究中已经陆续看到这方面的报告。
 
研究链接
 
SOX联合阿帕替尼方案用于进展期胃癌术前辅助治疗的肿瘤退缩疗效初步探索
 
崔贝贝 姚宏亮 雷三林 刘奎杰 中南大学湘雅二医院胃肠外科
 
目的:初步探索SOX联合阿帕替尼方案用于局部进展期胃癌术前辅助治疗的肿瘤退缩疗效,进而评估SOX联合阿帕替尼方案在局部进展期胃癌术前治疗中的有效性。
 
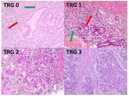
方法:回顾性收集2016年7月~2017年12月在中南大学湘雅二医院胃肠外科接受SOX联合阿帕替尼方案术前治疗的24例患者的基线资料、治疗前临床分期(cTNM)资料、术后病理分期(ypTNM)资料。参照NCCN胃癌诊疗指南推荐的3类法肿瘤退缩分级系统分析手术切除标本的肿瘤退缩分级(TRG)情况,进而评估SOX联合阿帕替尼方案在局部进展期胃癌术前治疗中的有效性。
 
结果:24例患者基线资料:中位年龄52.5岁,最小年龄38岁,最大年龄71岁;男女比例13:11;体重指数21.59±3.40。24例患者治疗前临床分期(cTNM)资料:临床Ⅱ期7例,临床Ⅲ期17例。其中cT3期10例,cT4期14例;cN0期4例,cN1期7例,cN2期7例,cN3期6例;所有患者均无远处转移。24例患者术后病理(ypTNM)资料:病理完全缓解3例,病理Ⅰ期7例,病理Ⅱ期8例,病理Ⅲ期6例。其中ypT0期4例,ypT1期2例,ypT2期8例,ypT3期4例,ypT4期6例;ypN0期13例,ypN1期5例,ypN2期3例,ypN3期3例。肿瘤退缩分级:TRG0级3例,TRG1级5例,TRG2级8例,TRG3级8例(表1)。肿瘤退缩有效率66.7%(表2,图1,图2)。9例患者实现淋巴结降期,降期比率37.5%。
 
结论:SOX联合阿帕替尼方案是进展期胃癌术前治疗的一种有效方法。SOX联合阿帕替尼方案可以提高进展期胃癌术前治疗反应率,从而可能提高R0切除率。
 
表1. 24例患者基线资料、治疗前临床分期资料及术后病理资料
 
 
表2. 肿瘤退缩有效组与肿瘤退缩无效组的数据比较
 
 
图1. 肿瘤退缩分级病理表现
 
图2. 一位患者治疗前后的影像学比较

 

本内容仅供医学专业人士参考


IGCC 2019

分享到: 更多